An all-terrain vehicle-ATV-is described by the American National Standards Institute as one that "travels on low pressure tires, with a seat that is straddled by the operator, and with handlebars to be used for steering."1 By this definition, an ATV is designed for interactive riding by a single operator. Drivers are able to shift their weight freely in all directions depending on the situation and terrain. According to ATV safety standards and recommendations, children younger than 6 years are never to be on an ATV of any size-alone or with someone else.
An all-terrain vehicle-ATV-is described by the American National Standards Institute as one that "travels on low pressure tires, with a seat that is straddled by the operator, and with handlebars to be used for steering."1 By this definition, an ATV is designed for interactive riding by a single operator. Drivers are able to shift their weight freely in all directions depending on the situation and terrain. According to ATV safety standards and recommendations, children younger than 6 years are never to be on an ATV of any size-alone or with someone else. Retailers are supposed to give safety information to consumers when an ATV is purchased. Most of these vehicles have thorough safety guidelines listed on their Web sites.
A 16-year-old was riding a 4-wheel adult-sized ATV without a helmet. When jumping his ATV, the vehicle hit hard coming down; he was propelled over the handle bars and the ATV landed on top of him. He sustained a full-thickness, large (22.5 cm) left distal medial thigh soft tissue injury. The exact mechanism was unknown. The saphenous vein, which was not injured, can be seen in Figure 1. There were no other significant injuries or fractures.
The patient underwent surgical intervention for irrigation, drainage, and closure of skin, fascia, and muscle. He received 48 hours of intravenous antibiotic therapy. Figure 2 shows the closure. The wound healed well.


ATVs come in different sizes with engines that range from 50 cc to over 700 cc (horsepower cannot be correlated). The adult-sized ATVs can weigh 500 to 700 lb. This brief description should be kept in mind while reading the case studies that we present here. These cases involve pediatric patients who were admitted to our level I urban pediatric center during the past 2 years. All injuries were sustained while the patient was riding on an ATV.
ABOUT ATVs
In 1980, ATVs were viewed as both recreational and utility vehicles. Deaths from ATV use rose from 29 in 1982 to 299 in 1986. Between 1982 and 2004, over 2000 children died as a result of ATV crashes. During that time, 31% of all ATV-related deaths occurred in children under age 16. Between 2000 to 2004, an average of 500 children and adults perished from ATV-related injuries and approximately 115,000 persons per year were injured during that time.2-4 From 2001 to 2005 there has been a 24% increase in serious injuries.5 As of 2005, there were about 6.2 million ATVs (an 89% increase in sales in 5 years) in the United States operated by over 15 million people. This has greatly increased the risk of morbidity and mortality.6
Injuries from ATVs can occur anywhere in or on the body. Musculoskeletal injuries are the most common. In 2004, one study noted that extremity fractures were the most prevalent, occurring in 38% of patients.7 Lower extremity injuries (including 3 partial foot amputations) were more common than upper extremity injuries. Torso injuries accounted for 22% of patient complaints and pulmonary contusions (not abdominal injuries) were associated with increased morbidity and mortality. Brain injuries occurred in 19% of the children and were significantly associated with long-term disability or death.7 In another study, only 35% were wearing helmets.6
At our hospital between January 2006 and August 2007, we had 125 patients in the trauma registry who were treated for ATV-related injuries. Of those, 92 were admitted (73%). Sixteen patients seen initially in the emergency department (ED) as trauma alerts were discharged; 17 patients were transferred from another facility and discharged from the ED. Of these 125 patients, 71% were male and 29% were female. There were no fatalities. The Table lists just a few of the more serious injuries seen here over the past 13 years, during which there were 2 fatalities. Other injuries include pneumothorax, spleen lacerations, degloving injuries, amputations, spinal cord injuries, and mandible fractures. Fewer than half of the admitted patients had been wearing a helmet, which could account for the many closed head injuries.

Case 2
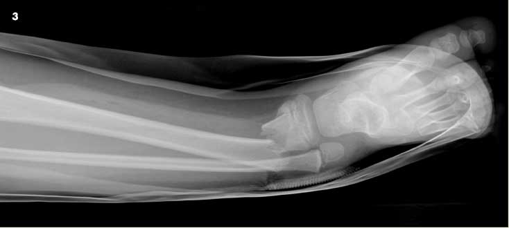
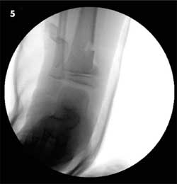
A 6-year-old boy was a passenger on an adult-sized ATV with his uncle. The ATV rolled over on both of them when the uncle lost control. The boy was wearing a chest protector at the time but no helmet. He sustained extensive injuries to both inguinal areas and to his mid-anterior thighs and lower legs. Figure 3 shows an angulated, displaced distal tibia as well as fibula fractures. CT scans and an anteroposterior radiograph of the pelvis (Figure 4) revealed bilateral nondisplaced pelvic bone fractures involving the right superior pubic ramus and bilateral inferior pubic rami. The open right tibia wound was extended surgically, irrigated copiously, and the fracture was reduced. Intravenous antibiotic therapy was administered for 48 hours. A drain was placed in the open wound, and the patient was placed in a long leg cast (Figure 5). The drain was removed in 2 days through an opening in the cast. The patient healed without complications.


In our hospital over the past 20 months, only 14% of those injured were 16 years or older (the recommended age for use of ATVs). If younger patients or their parents had not ignored the warnings, the list would be much shorter.*

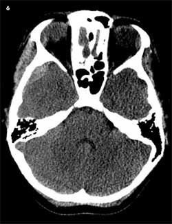
A 16-year-old girl was riding as a passenger on an adult-sized ATV without a helmet when her boyfriend lost control and the ATV rolled over. She sustained a closed head injury, multiple bruises, abrasions, and contusions. A right temporal skull fracture and right temporal fossa epidural hematoma were diagnosed (Figure 6).
The patient was treated with close monitoring of the skull fracture and hematomas. She was admitted for 4 days and had follow-up with physical medicine because of the head injury. She will see the neurosurgeon for serial rechecks and scans. She will continue to be monitored closely for her traumatic brain injury because of some memory difficulties, and she will need therapy for an indefinite period.
REFERENCES:
1.
Specialty Vehicle Institute of America. State all-terrain vehicle requirements. 2006. Available at:
www.atvsafety.org/InfoSheets/SummaryChartMay2006.pdf
. Accessed October 22, 2007.
2.
State ATV information. Deaths associated with ATVs by state. Available at:
www.atvsafety.gov/state/state.html
. Accessed October 22, 2007.
3.
Aitken M. Testimony of Mary Aitken, MD, MPH, FAAP, on behalf of the American Academy of Pediatrics. Commerce, Science and Transportation Subcommittee on Consumer Protection, Product Safety, and Insurance Hearing on All-Terrain Vehicles. June 6, 2006. Available at:
http://www.aap.org/advocacy/washing/Testimonies-Statements-Petitions/ATV_testimony_Commerce_final_draft.pdf
. Accessed October 18, 2007.
4.
Murphy N, Yanchar NL. Yet more pediatric injuries associated with all-terrain vehicles: should kids be using them?
J Trauma.
2004;56:1185-1190.
5.
Consumer Federation of America. ATV injuries and deaths slightly increased. ATVs are not toys. December 6, 2006. Available at:
http://www.aap.org/advocacy/washing/News-Release_Press-Statements/cpsc-annual-report.pdf
. Accessed October 17, 2007.
6.
Kelleher CM, Metze SL, Dillon PA, et al. Unsafe at any speed-kids riding all-terrain vehicles.
J Pediatr Surg.
2005;40:929-934.
7.
Bhutta ST, Greenberg SB, Fitch SJ, Parnell D. All-terrain vehicle injuries in children: injury patterns and prognostic implications.
Pediatr Radiol.
2004;34:130-133.