A 59-year-old woman had aphasia and right-sided weakness after a routine total knee replacement. CT and MRI scans revealed a large left middle cerebral artery infarct. A CT angiogram showed no significant disease of the cerebrovascular arteries. Test results for the lupus anticoagulant were positive. A venous study of the legs showed no deep venous thrombosis. She was treated with warfarin and aspirin and discharged. After speech and physical therapy, she had mild residual aphasia.

Click to Enlarge
A 59-year-old woman had aphasia and right-sided weakness after a routine total knee replacement. CT and MRI scans revealed a large left middle cerebral artery infarct. A CT angiogram showed no significant disease of the cerebrovascular arteries. Test results for the lupus anticoagulant were positive. A venous study of the legs showed no deep venous thrombosis. She was treated with warfarin and aspirin and discharged. After speech and physical therapy, she had mild residual aphasia.
A subsequent transesophageal echocardiogram revealed a mobile mass of about 9 × 4 mm attached to the aortic valve (A). In addition, intravenous injection of agitated saline suggested a patent foramen ovale (PFO), with bubbles freely traversing the interatrial septum from right atrium to left atrium (B).

Click to Enlarge
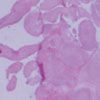
The patient underwent cardiothoracic surgery and excision of the mass. Pathological examination of the surgical specimen revealed a cardiac papillary fibroelastoma with multiple fronds (C). A PFO was not visualized during surgery; however, 2 tiny atrial septal defects, about 1 mm each, were closed by figure-8 suturing.
At follow-up several weeks later, a transthoracic echocardiogram demonstrated the passage of bubbles from right atrium to left atrium, favoring the clinical diagnosis of PFO despite nonvisualization at surgery.
This patient had 2 potential causes of cryptogenic, or idiopathic, stroke: an apparent PFO and a cardiac papillary fibroelastoma.

Click to Enlarge
A link between PFO and stroke has been suggested by the higher prevalence of PFO in patients with cryptogenic stroke compared with normal control subjects.1,2 In this patient, perioperative immobility and a propensity toward clotting (ie, the lupus anticoagulant positivity) may have led to venous thromboembolism, which originated in the pelvic veins or in the legs and traveled to the heart and ultimately to the left hemisphere of the brain.
Cardiac papillary fibroelastoma is the third most common cardiac tumor after myxoma and lipoma.3 This tumor may cause stroke by shedding directly into the bloodstream or by releasing thromboembolic material.4
[Editor's note: Dr. Fleet's case was originally published in 2008.]
REFERENCES:
1.
Krasuski RA. When and how to fix a "hole in the heart": approach to ASD and PFO. Cleve Clin J Med. 2007;74:137-147.
2.
Overell JR, Bone I, Lees KR. Interatrial septal abnormalities and stroke: a meta-analysis of case-control studies. Neurology. 2000;55:1172-1179.
3.
Sheppard MN, Angelini A, Raad M, et al. Papillary fibroelastoma. In: Camm AJ, Luescher TF, Serruys PW, eds. The ESC Textbook of Cardiovascular Medicine. Oxford: Blackwell Publishing; 2006:542-543.
4.
Sun JP, Asher CR, Yang XS, et al. Clinical and echocardiographic characteristics of papillary fibroelastomas. Circulation. 2001;103:2687-2693.
For More Information:
Kronzon I, Ruiz CD. Diagnosing patent foramen ovale: too little or too much? J Am Coll Cardiol Img. 2010;3:349-351, doi:10.1016/j.jcmg.2009.12.010 http://imaging.onlinejacc.org/cgi/content/full/3/4/349 Accessed May 9, 2011.