Bacteremia caused by viridans streptococci frequently presentsin a subacute fashion and can lead to complicated infections.It usually manifests from an oral source and may result inseeding of the heart valves. We describe a case of viridansstreptococci bacteremia that developed after a dental procedureand was complicated by endocarditis and vertebral osteomyelitis.Symptoms and signs that may heighten suspicion forcomplicated bacteremia caused by viridans streptococci arediscussed. [Infect Med. 2008;25:552-555]
Viridans streptococcal osteomyelitis manifesting as a complication of infective endocarditis (IE) is relatively uncommon but has been reported in the literature. Weber and colleagues1 discussed viridans streptococcal spondylodiscitis and reported one case that involved concurrent endocarditis of the posterior mitral leaflet. Similar to the patient in the case report that follows, the patient did not present with fever on admission but had elevated levels of inflammatory markers and a positive blood culture. Also of note is that the patient had involvement of the thoracolumbar spine.
Lee and colleagues2 reported a similar case in which a 60-year-old man presented with a lumbar backache of 1 month's duration that developed after a dental extraction. The patient was afebrile at the initial examination and was found to have lumbar osteomyelitis and mitral valve endocarditis. Blood cultures were positive for viridans streptococci. In addition, Buchman3 reported a case in which an elderly man presented to the emergency department (ED) with acute lumbar back pain after a dental procedure. On examination, a holosystolic murmur was discovered. Further investigation revealed lumbar osteomyelitis and bacteremia caused by viridans streptococci. An aortic vegetation was demonstrated on an ECG. In our case report, the patient presented with back pain and had a history of heart murmur and recent dental work.
Case report
A 49-year-old man presented to the ED with complaints of progressively worsening back pain in the lower thoracic region that began 8 days earlier after a long overnight drive. The patient described the pain as sharp, with a waxing and waning intensity. He denied experiencing parasthesias, asthenia of the lower extremities, and bowel or urinary incontinence. There was no history of trauma, but the patient acknowledged recently lifting heavy boxes. He denied fevers, chills, sweats, weight loss, chest pain, shortness of breath, lower extremity edema, orthopnea, paroxysmal nocturnal dyspnea, nausea, vomiting, diarrhea, or constipation.
Shortly before this ED visit, the patient's primary care physician had identified a new, pronounced systolic murmur during an examination. At that time, the patient was admitted to a community hospital where severe mitral regurgitation secondary to chordae tendinae rupture of the posterior mitral valve leaflet was identified on a transesophageal ECG (left ventricular ejection fraction, 55% to 60%). The patient underwent cardiac catheterization, the findings of which revealed clean coronary arteries and no evidence of aortic dissection. On discharge, metoprolol succinate and ramipril were prescribed.
Physical examination during the patient's visit to the ED revealed a temperature of 37.9C (100.2F), heart rate of 86 beats per minute, blood pressure of 110/54 mm Hg, respiration rate of 20 breaths per minute, and oxygen saturation of 98% on room air. The patient appeared well nourished; in no apparent distress; and oriented to person, place, and time. Findings from a head, eye, ear, nose, throat, and neck examination were within normal limits. Breath sounds were normal. The cardiac examination revealed a 4/6 holosystolic murmur that was best heard at the apex and radiated to the axilla. There was no evidence of lower extremity edema or neck vein distention. The abdominal examination findings were benign, and the neurological examination demonstrated no focal deficits. The spine and paraspinal muscles were nontender. However, the patient complained of pain with extension and flexion of the back. Examination of the skin revealed no rash or stigmata of endocarditis.
Laboratory tests revealed a white blood cell count of 8800/?L, with 86% segmented neutrophils, 7% lymphocytes, and 7% monocytes. The hemoglobin level was 12.4 g/dL, and the platelet count was 208 103/?L. Electrolyte, blood urea nitrogen/creatinine, and pancreatic enzyme levels as well as liver function test results were within normal limits. The erythrocyte sedimentation rate (ESR) was elevated at 64 mm/h. A radiograph of the thoracic spine showed no bony abnormalities except for osteopenia, with preserved body height and disk spaces.
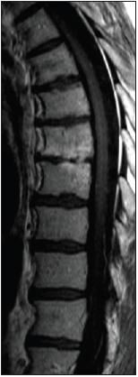
The patient was admitted to the general medicine service for further investigation of his progressive back pain of unclear cause. MRI of the thoracic spine was performed, which showed spondylodiscitis at the level of T7-8 (Figure 1). On day 2 of hospitalization, the patient's temperature spiked to 38.4C (101.1F). Two sets of blood cultures grew viridans streptococci, which were sensitive to ceftriaxone (minimal inhibitory concentration [MIC], 0.25 ?g/mL ) and penicillin (MIC, 0.12 ?g/mL).

Figure 1
-
T1-weightedgadolidium-enhancedMRI of the thoracicspine showingspondylodiscitis atthe level of T7-8.
It was learned that the patient had had dental work for placement of a bridge several weeks before presentation to the ED. He was given intravenous penicillin at a dosage of 3 million units every 4 hours. At this time, transesophageal electrocardiography was attempted but was difficult to perform because of the patient's anatomy. A transthoracic ECG confirmed a 3+ mitral regurgitation and a flail posterior mitral valve leaflet; no vegetations were noted (Figure 2). Antibiotic therapy with intravenous ceftriaxone 2 g/d for 8 weeks and gentamicin 70 mg every 8 hours for 2 weeks was initiated. The patient's clinical symptoms improved, and his ESR decreased to 5 mm/h. A repeated MRI scan showed resolving spondylodiscitis at T7-8. He was scheduled for mitral valve repair rather than replacement at another institution.

Figure 2
-
(A) The arrow in this transthoracic ECG points to the flail posterior mitral leaflet. (B) The arrow in this transthoracic ECG withDoppler flow indicates mitral regurgitation into the left atrium. (LV, left ventricle; LA, left atrium.) (Images courtesy of Natesa Pandian, MD.)
Discussion
Suspicion for osteomyelitis should be increased in patients with endocarditis. IE often presents with a variety of generalized musculoskeletal complaints, but some symptoms may arise from an occult osteoarticular infection. Sapico and colleagues4 retrospectively analyzed 104 cases of IE over 4 years to determine the prevalence of generalized musculoskeletal symptoms versus confirmed osteomyelitis or septic arthritis. They determined that the initial presenting symptoms in 24 of 104 cases (23%) were associated with musculoskeletal complaints. In addition, they reported that in 16 of the 24 cases, osteomyelitis or septic arthritis also was present. The authors noted that in cases of osteoarticular infections, the patients usually complained of focal pain at the site of infection. It is important to note that the patients with osteoarticular infections were injection drug users, as were the majority of patients with IE (64%) in this study. Therefore, these findings should not be extrapolated to the general population. Churchill and colleagues5 found that in 84 of 192 cases (44%) of bacterial endocarditis, patients presented with musculoskeletal complaints, including discitis (in 5 patients). These authors reported that pain and localized tenderness were common in these patients.
Based on these findings, we conclude that localized back pain in patients with IE-as opposed to generalized myalgias and arthralgias- should direct a physician to investigate the possibility of concurrent vertebral osteomyelitis. This recommendation has been supported by other clinicians.6 The choice of imaging technique depends on the clinical course of the back pain. In our case, MRI with contrast was the preferred modality, given its high sensitivity and the patient's recent onset of back pain, which suggested an acute osteomyelitis rather than a chronic infection.
Conversely, the decision to obtain an ECG in cases of osteomyelitis will depend on a thorough history and physical examination. In addition, microbiological data also may guide the clinician. Pigrau and colleagues7 retrospectively reviewed records of 91 patients with vertebral osteomyelitis and found that 28 (30.8%) had endocarditis. Of 11 cases of pyogenic vertebral osteomyelitis (PVO) caused by viridans streptococci, concurrent endocarditis was present in 6. Pigrau and coinvestigators also found that in 37 cases of Staphylococcus aureus PVO, endocarditis was present in 12. These findings led the authors to recommend echocardiography when microorganisms that commonly cause IE are isolated in patients with PVO.
In a retrospective review of 50 patients with streptococcal or enterococcal spondylodiscitis (SESD) and 86 patients with staphylococcal spondylodiscitis (SSD), a high rate of IE was found among patients who had SESD (11 of 42) compared with patients who had SSD (1 of 37).8 We should note, however, that the investigators excluded postoperative patients and included only those patients who had undergone transthoracic electrocardiography in their study results. These actions could have biased the results. Nevertheless, the high rate of IE among patients with SESD suggests that obtaining an ECG-preferably a transesophageal ECG-may be necessary. This protocol would be aligned with the general recommendations for the management of S aureus bacteremia.9
In cases of coexisting osteomyelitis and endocarditis, it is difficult to ascertain which complication came first. In our case, the sequence of events may help elucidate the chronology of these infectious processes. The history of dental surgery and the diagnosis of bacteremia caused by viridans streptococci led us to assume that the bacteremia developed in the patient via an oral source. Findings of a new systolic murmur and valvular destruction identified on an ECG before the onset of back pain permit us to speculate that the endocarditis preceded the complication of osteomyelitis. However, we cannot claim that this pattern holds in every clinical scenario. Mulleman and colleagues8 hypothesized that spondylodiscitis occurred before endocarditis in their study population because most of the patients had long histories of back pain at initial presentation. In addition, 74% of the patients had no evidence of heart valve infection when spondylodiscitis was diagnosed. Despite these observations, this team of investigators concluded that the sequence in which the infections occurred could not be definitively established.
The extent of vavular damage in our case highlights the virulent course that viridans streptococcal bacteremia can follow, despite the perception that it is a more indolent infectious entity than the bacteremia that is attributed to S aureus. Our patient's "clean" cardiac catheterization findings suggest that the flail leaflet did not result from an ischemic event. Rather, it was a striking complication of viridans streptococcal endocarditis.
Sussman and colleagues10 described 7 cases in which a flail leaflet developed as a consequence of viridans streptococcal IE. They also reported complicated patient outcomes, including valve replacement and death. The impact of coexisting osteomyelitis also may play a role. Le Moal and colleagues11 found that patients who had IE and coexisting spondylodiscitis required heart valve replacement more frequently than patients who did not have spondylodiscitis. This observation may reflect the complicated course of infection in these patients, because they may have had bacteremia for a longer period. They also noted that a patient's prognosis was influenced more by the severity of IE than by the concurrent osteomyelitis. Thus, the severity of valvular damage in our case may reflect both the virulent nature of viridans streptococci and the presence of a coexisting osteomyelitis, which serves as a marker for complicated bacteremia.
In summary, vertebral osteomyelitis as a complication of IE should be suspected in patients who present with localized back pain. The isolation of viridans streptococci from a blood culture or biopsy of bone should prompt the clinician to consider coexisting endocarditis in established cases of osteomyelitis. Although the chronology of these infections cannot always be established, historical clues provide the clinician with critical information. Viridans streptococcal endocarditis may follow a virulent course that may necessitate valvular replacement or repair, thus making timely diagnosis crucial.
AI-Powered Diabetes Prevention Program Intervention Matches Human Coaching in Landmark Trial
October 27th 2025After 1 year of coaching by the AI app or a DPP-associated coach, reductions in weight and HbA1c and increases in physical activity were equal, an outcome with great promise for scalability.