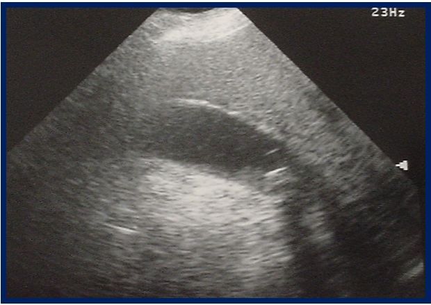
Figure 1. ED ultrasound abdomen. Click to enlarge.

Figure 2. ED ultrasound, Dx, cholecystitis. Click to enlarge

A 35-year-old sexually active, single woman presents to the emergency department (ED) with 18 hours of constant right upper quadrant (RUQ) abdominal pain associated with non-bloody but bilious vomiting and chills. She denies diarrhea, dysuria, and vaginal discharge and has no other complaints. She states that she has had similar pain before that was milder and only lasted a few hours so she never saw a doctor for it. This time it is not going away.
On physical examination her vital signs are normal although she appears to be in moderate distress with a half-filled emesis bag in her left hand. She is tender in the right upper quadrant and has a positive Murphy’s sign. The rest of the exam is normal.
Blood work including a CBC, metabolic panel, LFTs, UA, and pregnancy test are all completely normal except for 79% PMN’s on the differential. An abdominal ultrasound is performed and one of the images is shown in Figure 1 (please click on image to enarlge).
Question 1. What is notable on this ultrasound image?
Question 2. Would you discharge this patient to home?
Question 1. The ultrasound shows a gallstone impacted in the gallbladder neck (Figure 2). (Click image to enlarge).
Question 2. Since the pain has been persistent for more than 6 hours this likely represents early cholecystitis. Admission is prudent. If not a HIDA scan should be considered.
RUQ pain is most frequently caused by one of three primary forms of biliary stone disease: biliary colic, cholecystitis, or cholangitis (see Chart for details). Other important considerations include renal disease, pulmonary disease, hepatitis, and Fitz-Hugh-Curtis syndrome.
Biliary colic tends to cause self-limited episodes of RUQ pain lasting less than 2 hours without fever or abnormal laboratory markers. Symptoms often are triggered by meals, especially those with high fat content. Because the pain typically is short-lived, these patients are more likely to present to a primary care provider than the ED.
When stones become impacted in the gallbladder neck they can cause cholecystitis. The hallmark of cholecystitis is pain lasting more than 6 hours, often associated with vomiting. In early or mild disease there may be no fever and blood tests are often all normal. In more severe cases LFT values and WBC count may elevate and fever may occur. Ultrasound, the initial imaging test of choice, may show a thickened gallbladder wall, a dilated common bile duct, or pericholecystic fluid, but in about 10% of cases, only gallstones will be noted. A nuclear biliary scan (HIDA or DESIDA) is about 95% sensitive and is considered the gold standard test. Treatment is surgical with adjuvant antibiotics.
The most severe form of biliary disease is ascending cholangitis which presents with fever, RUQ pain, and jaundice. It may rapidly progress to sepsis causing hypotension and delirium as well. This is a surgical emergency. See chart below for more details on the 3 forms of biliary stone disease as well as Fitz-Hugh-Curtis syndrome, another cause of RUQ pain that is frequently missed because of misconceptions about its usual clinical presentation.
Chart: Right Upper Quadrant Abdominal Pain from QUICK ESSENTIALS: Emergency Medicine 1-minute Consult pocketbook
[[{"type":"media","view_mode":"media_crop","fid":"50506","attributes":{"alt":"","class":"media-image","id":"media_crop_577762855007","media_crop_h":"0","media_crop_image_style":"-1","media_crop_instance":"6169","media_crop_rotate":"0","media_crop_scale_h":"0","media_crop_scale_w":"0","media_crop_w":"0","media_crop_x":"0","media_crop_y":"0","style":"height: 339px; width: 620px;","title":" ","typeof":"foaf:Image"}}]]
FDA Approves Updated Indication Statement for Upadacitinib in Inflammatory Bowel Disease Treatment
October 14th 2025FDA approves updated indication for upadacitinib in ulcerative colitis and Crohn disease treatment, allowing use after one systemic therapy when TNF blockers are clinically inadvisable.
Clinical Tips for Using Antibiotics and Corticosteroids in IBD
January 5th 2013The goals of therapy for patients with inflammatory bowel disorder include inducing and maintaining a steroid-free remission, preventing and treating the complications of the disease, minimizing treatment toxicity, achieving mucosal healing, and enhancing quality of life.