The primary goal of treatment is to minimize the progression of foot deformity by achieving and maintaining structural stability of the foot and ankle.
Figure A

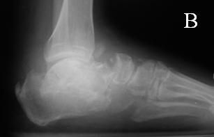
Charcot neuroarthropathy is a major cause of morbidity for patients with diabetes mellitus (DM). The foot of a 55-year-old man with a significant past medical history of type 2 DM is seen in the accompanying Figure A. He has a history of peripheral neuroarthropathy with a 1-week history of a hot, swollen right foot. A radiograph of the foot revealed acute stage Charcot neuroarthropathy (Figure B).
Charcot neuroarthropathy is progressive in nature. The longer the acute degenerative process persists, the greater the destruction, resultant deformity, and potential for other complications. Like any progressive disorder, Charcot neuroarthropathy requires more aggressive and invasive treatment the longer it goes unmanaged.
In this 2-part article, we discuss the signs of Charcot that affect the foot and ankle. The first part (“The Charcot Foot: A Missed Diagnosis Can Cost a Limb”) focused on identification and diagnosis of the disorder and how to distinguish it from other conditions. This second part describes management of this complex neuropathic condition, including the conservative options for treatment of acute Charcot foot and prevention of serious deformity, as well as the appropriate interventions for reconstruction.
Treatment Goals
The primary goal of treatment is to minimize the progression of foot deformity by achieving and maintaining structural stability of the foot and ankle. This includes preserving a functional plantigrade foot and ambulation while preventing ulcers from forming or recurring.
The choice of treatment for Charcot foot is based on the following 4 factors:
• Disease stage.
• Location of deformity.
• Presence of ulcerations.
• Existing comorbidities.
Conservative Treatment
During the acute stage, offloading the foot is crucial to arresting the progressive deformity. The mainstay of treatment is immobilization and reduction of stress on the foot.
Ideally, the foot should be immobilized in a total contact cast (TCC), or an instant TCC, which has been shown to be equivalent.1 To prevent skin abrasion, replace the TCC after 3 days and every week or two thereafter. This treatment typically lasts 8 to 12 weeks or until edema has resolved and the temperature of the affected foot is within 2°C (36°F) of that of the contralateral foot.2
Figure B

The primary goal of treatment is to minimize the progression of foot deformity.
Monitor progression by serial radiographs until fracture healing and bone remodeling are evident. At that point, the patient should be transitioned to a Charcot restraint orthotic walker. Eventually, to achieve a gradual return to full weight bearing, the patient should be provided with accommodative shoes and insoles. Keep in mind that the patient may need an ankle-foot orthosis with the accommodative shoes.
Medication with bisphosphonates may expedite conversion of an active Charcot foot to a more stable, chronic stage. This treatment was proposed because markers of bone turnover are excessively elevated in Charcot neuroarthropathy. However, although pamidronate has been reported to be effective,3 there is no conclusive evidence that bisphosphonates significantly minimize bone resorption in this patient population.
Electrical bone stimulation also has been proposed for treatment during the acute phase because of its ability to stimulate and promote rapid consolidation of fractures.4
Surgery
Reconstructive surgery may be considered for a deformity that cannot be controlled effectively or accommodated by conservative means. In this case, continuing instability in the foot or ankle leads to excessive plantar pressure on the deformed foot and ulcerations, infections and, potentially, amputations.
A number of surgical procedures have been described for the Charcot foot. For deformities along the lateral column of the plantar foot, exostectomy of a bone prominence along the plantar surface of the foot has been successful.5
When dealing with medial column deformities or a more severe Charcot deformity, arthrodesis procedures that realign the foot are preferred to osteotomies because they have a lower failure rate. The arthrodesis achieves a more rigid and stable construct for the plantigrade foot when weight bearing.
A tendo-Achilles lengthening (TAL) is done frequently as an adjunctive procedure because an equinus deformity is usually present, adding to the increased plantar pressures and ground reactive forces on the forefoot and midfoot.
Complications
Complications occur frequently in this patient population secondary to the delayed diagnosis and the complicated disease process. A delay in diagnosis of greater than 3 months adversely affects the quality of life and functional outcome of diabetic patients.6 The most common complication is an infection that becomes superimposed on the Charcot foot secondary to plantar ulcerations. The infectious processes may worsen, leading to osteomyelitis and eventually to an amputation. When this occurs, these patients exhibit a loss of function, which along with the loss of a limb, creates increased energy expenditure during ambulation, thus further stressing the cardiovascular system, which is likely already compromised. Despite the critical need for exercise in this population, patients become more limited and their overall health can deteriorate more rapidly.
Recommendations
Treatment is intended to convert the Charcot foot from an active to a quiescent stage by offloading the affected joint through immobilization and non–weight bearing, which may be done with a TCC. Progression to protected weight bearing with custom footwear and ankle-foot orthoses accommodating the deformity is advisable after the active Charcot phase has ceased.
Surgical intervention remains controversial. Reconstruction of the deformed Charcot foot is recommended when the foot remains unstable, leading to recurrent ulcerations and increasing the potential for infections and amputations. Surgical reconstruction, such as arthrodesis with malalignment correction and TAL, is commonly required in Charcot disease that affects the ankle because of the greater degree of instability.
Conclusion
The surgical goal is to achieve a stable, plantigrade foot to assist ambulation and prevent recurrence of the acute degenerative phase and ulcerations along with the respective sequelae.
References
1. Armstrong DG, Lavery LA, Wu S, Boulton AJ. Evaluation of removable and irremovable cast walkers in the healing of diabetic foot wounds. Diabetes Care. 2005;28:551-554.
2. Armstrong DG, Lavery LA. Monitoring healing of acute Charcot’s arthropathy with infrared dermal thermometry. J Rehabil Res Dev. 1997;34:317-321.
3. Jude EB, Selby PL, Burgess J, et al. Bisphosphonates in the treatment of Charcot neuroarthropathy: a double blind randomised controlled trial. Diabetologia. 2001;44:2032-2037.
4. Petrisor B, Lau JT. Electrical bone stimulation: an overview and its use in high risk and Charcot foot and ankle reconstructions. Foot Ankle Clin. 2005;10:609-620.
5. Catanzariti AR, Mendicino R, Haverstock B. Ostectomy for diabetic neuroarthropathy involving the midfoot. J Foot Ankle Surg. 2000;39:291-300.
6. Pakarinen TK, Laine HJ, Maenpaa H, et al. Long-term outcome and quality of life in patients with Charcot foot. J Foot Ankle Surg. 2009;15:187-191.