This enigmatic, destructive, and deforming condition most often affects persons who have diabetes.
Charcot neuroarthropathy-an enigmatic, destructive, and deforming condition-most often affects persons who have diabetes mellitus (DM). Although the disorder was identified more than a century ago, misdiagnosing or overlooking it is easy because the initial signs often are subtle and misinterpreted. The consequences can be devastating, including ulceration, infection, loss of mobility and limb and, ultimately, an early demise.
The main reason why clinicians do not recognize Charcot neuroarthropathy is that the clinical presentation often is similar to that of more common conditions. Its acute stage appears similar to that of cellulitis, and the chronic Charcot foot resembles osteomyelitis. Both conditions are well documented among patients with DM.
In this 2-part article, we focus on the signs of Charcot that affect the foot and ankle. This first part describes identification and diagnosis of the disorder and how to distinguish it from these other conditions. The second part will discuss management of this complex neuropathic condition.
Pathogenesis
In the literature, the prevalence of Charcot foot varies from 0.08% in the general DM population to 13% in high-risk DM clinics.1 These are probably underestimates because many cases are misdiagnosed.2
First identified by Jean-Marie Charcot in 1883, Charcot neuroarthropathy causes inflammatory changes, subluxation, and dislocations, ultimately leading to significant deformities. Patients with DM are affected most often, although other peripheral neuropathies have been implicated.
Several theories have been proposed to explain the pathogenesis of Charcot neuroarthropathy. Do degenerative changes to the CNS lead to a neurogenic loss of osseous nutrition and, consequently, to arthritis? Does the hypervascular reflex secondary to autonomic neuroarthropathy lead to bone loss, ultimately weakening bones and causing fractures and dislocations? Or does repetitive microtrauma from weight bearing on an insensate foot cause instability, subluxation, and destruction of bone?
Most likely a combination of all 3 phenomena lead to the development of Charcot foot, causing an acute inflammatory response during which cytokines, interleukins, and tumor necrosis factors (TNFs) are released. TNFs express the receptor activator of nuclear factor-κB ligand, which binds to the receptor activator of nuclear factor-κB, causing maturity of precursor osteoclastic cells into osteoclasts, thus increasing bone resorption and demineralization.
These events are well understood from the study of basic research of fractures, where immobilization usually controls the inflammatory process, and osteoporosis. In the case of Charcot neuroarthropathy, small fractures often go unnoticed and an uncontrolled inflammatory phase perpetuates the osteolytic process.
Endothelial nitric oxide synthase (eNOS) also contributes to the cytokine-mediated pathway by regulating nitric oxide, an important free radical that limits osteoclastic resorption. Decreased expression of eNOS has been observed in bone specimens from patients with Charcot neuroarthropathy, potentially implicating eNOS as another factor in the development of Charcot foot.3 Reduction of eNOS decreases nitric oxide expression, leading to increased osteoclastic activity.
Figure 1A

A patient with a chronic Charcot foot has the typical "rocker bottom foot" with a noninfected neuropathic ulcer on the bottom of the midfoot resulting from increased pressure from ambulation (
A, B
). There is increased hyperkeratotic skin seen around the ulcer from walking. Figure 1B

Clinical Presentation
Patients with Charcot neuroarthropathy often present with manifestations in the vascular, neurologic, musculoskeletal, and dermatologic systems. In the acute phase, look for a severe inflammatory reaction with edema and erythema. In addition, there is an increase in local skin temperature of several degrees compared with the contralateral limb.4 Frequently, there is mild to moderate pain that may be disproportionate to expectations because the foot is insensate.4,5
Many patients with Charcot neuroarthropathy have normal or even rebounding pedal pulses. The presence of an ulcer might further misguide the clinician toward a diagnosis of an acute infectious process, such as cellulitis or acute osteomyelitis.
As the acute process ends, the foot may continue to have residual edema or erythema or both. However, the chronic Charcot foot frequently has a noteworthy appearance, known as a “rocker bottom foot.” This deformity arises after the acute degenerative phase, as small fractures coalesce along with fusion of the osseous debris. The consolidated bone appears as a plantar convexity that causes increased plantar pressures, which may lead to neuropathic ulcerations.
A typical rocker bottom foot is shown in Figure 1. A noninfected neuropathic ulcer on the bottom of the midfoot resulted from increased pressure from ambulation. Increased hyperkeratotic skin around the ulcer was caused by walking.
Acute exacerbations may continue to occur. They often are misdiagnosed as chronic osteomyelitis because of their appearance (fibrotic and frequently widened soft tissue envelope, with an ulcer at the site of a gross osseous deformity) and the fact that among patients who have DM, infection is more common than Charcot neuroarthropathy.
Diagnosis of Charcot Foot
Early diagnosis of Charcot foot and proper treatment are critical to preventing long-term consequences. Charcot neuroarthropathy should be considered in all patients with DM who have peripheral neuroarthropathy and present with leg or foot edema, erythema, and increased skin temperature, with or without foot ulceration.
If the diagnosis is not made immediately when the patient reports symptoms, a vicious cycle ensues, because weight bearing further stresses the injured Charcot joint. This leads to increased fragmentation, instability, joint degeneration, and bony deformities. Further ulceration may lead to concomitant infections and, eventually, amputation. Of course, the concomitant process of Charcot foot and an infection can certainly further challenge the diagnostic process.
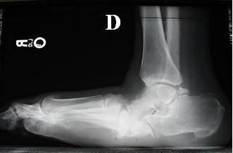
Figure 1C

The patient's normal-appearing left foot radiograph (
C
) is shown in comparison with his right foot radiograph (
D
), which reveals consolidation of the osseous fragments creating the chronic joint subluxation and bony prominence on the bottom of midfoot. Figure 1D

Also seen in Figure 1 are a normal-appearing radiograph of a patient’s left foot and, for comparison, a radiograph of the patient’s right foot showing consolidation of the osseous fragments creating the chronic joint subluxation and bony prominence on the bottom of the midfoot.
Misdiagnosis also may lead to unnecessary incision and drainage or to inappropriate treatment with antimicrobial therapy. Maintaining a high index of suspicion for Charcot neuroarthropathy is important to prevent a potentially devastating outcome.
Imaging
The standard tests for definitive diagnosis of Charcot and osteomyelitis are synovial tissue biopsy and bone biopsy. A finding of multiple shards of bone and soft tissue embedded in the synovium is pathognomonic for Charcot. However, these tests are invasive and involve considerable risk to the patient. Diagnosis by imaging is far preferable.
Radiographs usually are the first images used to evaluate Charcot foot, although the findings can be misleading. The early stages may appear normal or may show only very subtle fractures and dislocations. Clinical suspicion should prevail if a patient who has neuropathy with a red, hot, swollen foot shows no radiographic changes.
Because early diagnosis and treatment are crucial, it is appropriate to consider other imaging methods to differentiate Charcot foot from cellulitis, osteomyelitis, and other conditions if the initial x-ray films are difficult to interpret or the results are negative.
MRI has been shown to provide the highest diagnostic accuracy, detecting subtle changes in the early stages of active Charcot neuroarthropathy before they are visible on plain radiographs.6
On MRI, both Charcot foot and osteomyelitis show bone marrow edema, joint effusion, and surrounding soft tissue edema. During the acute setting of Charcot, the presence of increased signal intensity within the bone marrow on T2-weighted images mimics osteomyelitis.
The distribution of bone marrow edema can help the distinction: In osteomyelitis, bone marrow edema generally tends to affect a single bone, with diffuse intraosseous involvement and adjacent soft tissue changes. In acute Charcot, bone marrow edema typically is periarticular and subchondral, involving multiple bones and joints.
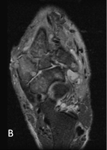
Figure 2A

T1-weighted (
A
) and T2-weighted (
B
) MRI scans depict diffuse intermedullary changes to the midtarsal bones with consolidated fragments, subluxations, and dislocations resulting in a gross deformity throughout the midfoot.Figure 2B

T1-weighted and T2-weighted MRI scans (Figure 2) depict diffuse intermedullary changes to the midtarsal bones with consolidated fragments, subluxations, and dislocations, resulting in a gross deformity throughout the midfoot.
Chronic Charcot appears similar to the acute Charcot foot, but a deformity is very likely to develop. Similar changes are observed in osteomyelitis when there is a concomitant Charcot foot.6
If foot ulceration is present, determining whether there is underlying osteomyelitis can be challenging. Most cases of osteomyelitis involve a direct source of inoculation through an opening in the skin and are highly associated with ulceration, abscess, or sinus tract. Therefore, osteomyelitis should be suspected in the setting of a skin defect with abnormal bone marrow signal on MRI.
Three-phase technetium scans are highly sensitive (93%) for active bone pathology.7 Three-phase technetium-99 followed by Indium-111-labeled leukocyte scintigraphy is useful in differentiating between osteomyelitis and Charcot foot because they have relatively high sensitivity (92%) and specificity (110%).8
Bone scans are sensitive for any bone disorder but are not very specific. A simple probe-to-bone test has been accepted as indicative of osteomyelitis, but this has been called into question because the sensitivity and specificity have not been reproduced in outpatient populations.9 Positron emission tomography has shown potential for differentiating Charcot foot from osteomyelitis but has not been fully validated for this purpose.10
The Charcot foot may mimic deep vein thrombosis, which can be ruled out by duplex venous scan. However, simply observing the erythema also offers clues. Elevating the affected leg can help determine whether erythema is associated with infection. Dependent rubor related to Charcot foot usually resolves within 10 minutes of elevation; the erythema would remain unchanged in an infected limb. (In cellulitis, the margins of the erythema are more well-defined than in Charcot neuroarthropathy.)
Recommendations
The diagnosis of Charcot neuroarthropathy is highly dependent on a high index of suspicion and is based primarily on the history and clinical findings with help from imaging studies. A profoundly erythematous, edematous, warm foot in a neuropathic patient with unknown causes should be considered Charcot neuroarthropathy until suggested otherwise.
The diagnosis often becomes complicated when patients first present with a concomitant foot ulcer, raising suspicion for cellulitis and possibly osteomyelitis. However, even with consideration of more common infectious processes in these patients, the presence of a Charcot foot must still be investigated because both pathologies can have severe complications and may present simultaneously.
The clinician must first recognize the condition and provide appropriate imaging and referrals. Plain radiographs should be the initial imaging study ordered with possible reliance on MRI to aid in confirming clinical suspicion in the presence of normal appearing radiographs. When in doubt, a bone biopsy also may be obtained to rule out osteomyelitis.
Conclusion
The Charcot foot, if unmanaged, can lead to a severe, limb-threatening condition. It must be distinguished from the similarly presenting and more common infectious processes so that proper treatment can be instituted immediately, limiting the resultant deformities and other complications.
References
1. Frykberg RG, Belczyk R. Epidemiology of the Charcot foot. Clin Podiatr Med Surg. 2008;25:17-28.
2. Myerson MS, Henderson MR, Saxby T, et al. Management of midfoot diabetic neuroarthropathy. Foot Ankle. 1994;15:233-241.
3. La Fontaine J, Harkless LB, Sylvia VL, et al. J Foot Ankle Surg. 2008;47:424-429.
4. Armstong DG, Todd WF, Lavery LA, et al. The natural history of acute Charcot’s arthropathy in a diabetic foot specialty clinic. Diabet Med. 1997;14:357-363.
5. Cofield RH, Morrison MJ, Beabout JW. Diabetic neuroarthropathy in the foot: patient characteristics and patterns of radiographic change. Foot Ankle. 1983;4:15-22.
6. Grayson ML, Gibbons GW, Balogh K, et al. Probing to bone in infected pedal ulcers: a clinical sign of underlying osteomyelitis in diabetic patients. JAMA. 1995;273:721-723.
7. Larcos G, Brown ML, Sutton RT. Diagnosis of osteomyelitis of the foot in diabetic patients: value of 111In-leukocyte scintigraphy. AJR AM J Roentgenol. 1991;157:527-531.
8. Palestro CJ, Love C, Tronco GG, et al. Combined labeled leukocyte and technetium 99m sulfur colloid bone marrow imaging for diagnosing musculoskeletal infection. Radiographics. 2006;26:859-870.
9. Tan PL, Teh J. MRI of the diabetic foot: differentiation of infection from neuropathic change. Brit J Radiol. 2007;80:939-948.
10. Hopfner S, Krolak C, Kessler S, et al. Preoperative imaging of Charcot neuroarthropathy in diabetic patients: comparison of ring PET, hybrid PET, and magnetic resonance imaging. Foot Ankle. 2004;25:890-895.