A 23-year-old woman presents withweight loss, epigastric pain, abdominalfullness, and mild nausea. Shereports that she has had a slow-growingmass on her upper middle abdomen.She denies vomiting and doesnot have evidence of jaundice. Theonly significant finding in her medicalhistory is a myringotomy performedmany years earlier. She currentlytakes an oral contraceptive.

Figure 1

Figure 2
A 23-year-old woman presents withweight loss, epigastric pain, abdominalfullness, and mild nausea. Shereports that she has had a slow-growingmass on her upper middle abdomen.She denies vomiting and doesnot have evidence of jaundice. Theonly significant finding in her medicalhistory is a myringotomy performedmany years earlier. She currentlytakes an oral contraceptive.
A firm, nontender, epigastric,midline mass is noted in this wellnourishedpatient. Laboratory values,including a complete blood cell countand the results of liver function testsand pancreatic enzyme measurement,are normal.
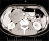
A CT scan with contrast of the abdomenreveals a well-defined massarising from the inferior aspect of thehead of the pancreas at the Oddisphincter (Figure 1). The tumor hasboth solid and cystic components, withdiffuse, inhomogeneous enhancementand no evidence of calcification. Themass is associated with mild pancreaticand biliary ductal distention. Noother abnormalities are noted withinthe abdomen or lung bases.

Figure 3
Cystadenoma/carcinoma and asolid-cystic papillary tumor of the pancreasare considered in the differentialdiagnosis. The patient undergoesan elective partial pancreatoduodenectomy.A well-circumscribed, thicklyencapsulated, fleshy, yellow and graymass (7.5 * 5.3 * 5.0 cm) is removed(Figure 2). Numerous cysts(the largest is 0.2 cm) are scatteredthroughout the specimen; the remainingcut surfaces have a fine granularappearance. Although the pancreaticduct is occluded 0.3 cm into the specimen,the surgical margins (distalpancreatic margins, bile duct margin,and distal and proximal small intestinalmargins) are free of tumor.
Histologic examination revealsthat most of the encapsulated pancreaticneoplasm excised from this patienthas sheets of intermediate-sizedcells with ovoid to irregular nuclei;fine heterochromatin; small nucleoli;and moderate amounts of pink toclear, occasionally vacuolated cytoplasm(Figure 3). Numerous smallfoci of necrobiotic cells with pyknoticnuclei and hypereosinophilic cytoplasmare also present.
The tumor is invested by a richcapillary network, with cells radiallyarranged around minute fibrovascularstocks, which resemble rosettesand pseudopapillae. Extensive hemorrhageand degeneration resulted inpseudomicrocysts devoid of an epitheliallining. Fewer than one mitosis(with both perineural and lymphangiticinvasion) per high-power field isnoted within the tumor. The remainingpancreas shows evidence of chronicpancreatitis; the small intestine(duodenum) is unremarkable.
The patient's recovery is uneventful.At follow-up 2 years after the procedure,a CT scan demonstrates noevidence of recurrent tumor. She isnot required to take insulin; there isno evidence of malabsorption.
SOLID-CYSTIC PAPILLARYTUMOR: AN OVERVIEW
Epidemiology. Solid-cystic papillarytumor of the pancreas--alsoknown as papillary solid and/or cysticneoplasm, papillary epithelialtumor, and solid-pseudopapillary tumor--is a rare neoplasm of uncertainmalignant potential that is foundalmost exclusively in young women,especially adolescents. Since its originaldescription by Frantz in 1959,more than 400 cases have been documentedin the literature.1 Tumorsof up to 20 cm in diameter havebeen reported.2
Pathogenesis. The histogenesisof the solid-cystic papillary tumorremains illusive, despite extensiveimmunohistochemical staining andelectron microscopy studies. A ductalcell origin has been hypothesized,because of the absence ofzymogen and neurosecretory granuleson electron microscopy.3
Positive immunohistochemicalstaining for α1-antitrypsin and α1-antichymotrypsin suggests an acinarcell origin.4,5 However, α1-antitrypsinimmunoreactivity is nonspecific topancreatic exocrine cells.
Another theory suggests that thetumor has an endocrine origin; thisis based on the observation of neurosecretorygranules by electronmicroscopy and immunohistochemicalstaining of certain pancreatic hormones,including glucagon and insulin,and neuron-specific enolase.6,7The lack of neurosecretory granulesin some cells and the presence inothers causes further confusionabout the cell of origin. Because ofconflicting data and the mixed exocrineand endocrine milieu withinthe tumor, numerous investigatorshave proposed that the tumor originatesfrom a multipotential stem cell,which is able to differentiate intoand exhibit properties of ductal, acinar,and/or endocrine cells.8
Malignant potential. The tumorcan arise anywhere within the pancreasor even in areas of pancreaticheterotopia.9 The neoplasm rarelyinvades structures but rather displacesthem with "pushing borders."Surgical resection of the tumor,even if large, is often possible.
Most solid-cystic papillary tumorsare benign or of low-grade malignancy;however, in one study, 43 of289 tumors had malignant features,including surrounding tissue infiltration,tumor recurrence, lymph nodemetastasis, and distant metastasis.2The prognosis for patients with malignant tumors is not dismal; manypersons live more than 5 years aftersurgery. Benign and malignant tumorsshare similar histologic andimmunohistochemical findings;thus, prediction of malignancy andmetastatic potential is difficult.
Pathologic findings. Solid areasof the tumor contain sheets andcords of cells arranged around delicatefibrovascular septa. Microcysticspaces and discohesion betweencells farthest from the rich capillarynetwork result in a pseudopapillarypattern and pseudorosette formation.Myxoid degeneration, cysticareas, aggregates of foamy histiocytes,hemorrhage, and hyalinizationof blood vessels are often striking.Cystic degeneration is thoughtto evolve from vascular compromisewithin the tumor; however, smalltumors (2 cm in diameter) haveshown cystic properties.
Tumor cells are small to medium-sized and cuboid or polygonal.The chromatin pattern is often finewith inconspicuous nucleoli and indentedor folded nuclei. Cell cytoplasmoften varies from eosinophilicto clear to basophilic. Periodic acid-Schiff-positive hyaline globules maybe numerous. Mitoses are usuallyrare, and the circumscribed tumor isoften encapsulated by thick fibrousconnective tissue. Vascular invasionis a rare but worrisome finding suggestiveof malignant behavior.
AI-Powered Diabetes Prevention Program Intervention Matches Human Coaching in Landmark Trial
October 27th 2025After 1 year of coaching by the AI app or a DPP-associated coach, reductions in weight and HbA1c and increases in physical activity were equal, an outcome with great promise for scalability.