Figure.

A 64-year-old man presents to the emergency department with a history of 10 episodes of rectal bleeding and diffuse intermittent abdominal pain over the past 24 hours. He also describes generalized weakness and says he experienced near syncope during one episode. He denies fever, vomiting, palpitations, and chest pain and has no other complaints. He denies taking blood thinners, prior gatrointestinal bleeding, or recent travel. Two months ago, however, he was hospitalized at your hospital for cholecystitis. His past medical history is significant for GERD and hypertension. His only current medications are benazepril and lansoprazole.
Other than grossly positive blood on digital rectal exam, the rest of his physical exam, including vital signs, is essentially normal. Other findings include mild diffuse abdominal tenderness without rebound, guarding, or rigidity and a well healed right upper quadrant scar. Specifically, there is no skin pallor, tachycardia, rash, edema, or melena.
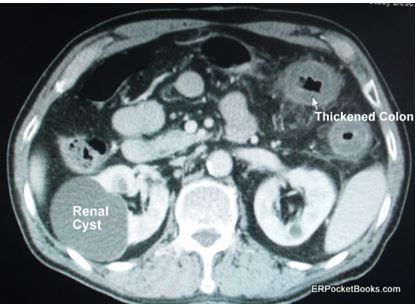
Diagnostic testing includes a complete blood cell count, metabolic panel, liver function tests, lipase test, and a CT scan of the abdomen. Laboratory values are all normal except for a potassium level of 3.1 mEq/L and a white blood cell (WBC) count of 19.2 x103/µL. The CT scan was ordered primarily because of the elevated WBC count and one cut from that scan is shown in the Figure. (Please click on Figure to enlarge)
- What incidental abnormal finding or findings do you note?
- What abnormal finding on this CT scan correlates with this patient’s clinical presentation?
- How would you proceed with the patient’s workup and subsequent management?
Answers (See Figure labels; click on Figure to enlarge)
- Incidental findings: renal cysts, one large calcified aorta
- Pathologic finding: thickened colonic wall
- Workup/management: stool cultures, Clostridium difficile toxin assay, empiric antibiotics, serial hemoglobin tests
Diagnosis: C difficile colitis, mimicking a lower GI bleed.
This type of presentation of C difficile colitis is not uncommon. His CT scan showed thickened colonic walls, but no perforation. He had multiple risk factors for C difficile, including recent hospital admission, recent broad-spectrum antibiotics, and use of a proton pump inhibitor (PPI).
Discussion
The classic presentation of C difficile colitis, also known as pseudomembranous colitis, is profuse watery diarrhea following recent administration of antibiotics. A high WBC count is often present. Pain, vomiting, occult or gross blood, and/or fever may or may not be present as well. Risk factors are often but not always present and include recent hospital admission; antibiotics other than metranidazole or doxycycline in the past 1 to 3 months; malignancy; inflammatory bowel disease; dialysis; and the use of PPIs, because these agents raise the gastric pH which normally protects against spores from this organism. C difficile produces one or more toxins that cause diarrhea and inflammation. Complications include dehydration, bleeding, sepsis, toxic megacolon, and colonic perforation. Death occurs in about 2% of patients.
Diagnosis of C difficile colitis is made by testing stool for the C difficile toxin. Three serial stool samples are recommended and even then sensitivity is only approximately 70%. A recently introduce enzyme immunoassay (EIA) is 80% sensitive with a single stool specimen, but a positive test must be followed by testing for toxin as colonization may cause a false-positive EIA. Imaging should be considered if there is constant pain rather than just cramping.
Treatment of C difficile colitis usually starts with discontinuation of any unnecessary antibiotics, rehydration, and metronidazole for 10 to 14 days. Severe, refractory or recurrent cases should be treated with oral vancomycin. Other agents and modalities may be considered in certain cases. (See Table below for more information and specifics of dosing and duration.) Surgery may be required for toxic megacolon, perforation, or life-threatening cases not responding to antibiotics. Prevention of C difficile colitis and its spread are crucial because both the incidence and severity of the infection have been increasing. Minimizing the use of unnecessary antibiotics and PPIs should be considered or they should be substituted with lower-risk agents such as doxycycline for appropriate infections and H2 blockers as first-line agents for GERD or gastritis.
Remember that alcohol-based sanitizers are not effective against spore-forming organisms such as C difficile, so wash hands with soap and water when caring for a patient who may have this condition.