A 48-year-old woman with hypertension, HIV infection, anemia, and chronic kidney disease presented with generalized body weakness and diarrhea of several months’ duration.

A 48-year-old woman with hypertension, HIV infection, anemia, and chronic kidney disease presented with generalized body weakness and diarrhea of several months’ duration.
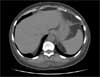
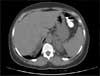
A CT scan of the abdomen with contrast performed as part of an evaluation of the chronic diarrhea revealed a Bochdalek hernia.
This congenital defect, first described by Bochdalek in 1848, is an improper fusion of the posterolateral foramina of the diaphragm that results in herniation of the abdominal organs into the chest cavity. Because the left abdominal canal closes later than the right during embryogenesis, 85% of cases involve the left side of the diaphragm.1

Bochdalek hernia occurs in about 1 of 2200 to 2500 live births and affects males twice as often as females. The defect may cause respiratory or GI symptoms at birth; however, it may remain asymptomatic. In adults, Bochdalek hernia is primarily an incidental finding on a CT scan of the abdomen, as it was in this patient. Its incidence in asymptomatic adults varies between 0.17%2 and 6%.3
References
1.
Laberge JM, Sigalet DI, Gutterman FM. Congenitaldiaphragmatic hernia. In: Nyhus LM, CondonRE, eds.
Hernia.
4th ed. Philadelphia: JB Lippincott;1995:555-566.
2.
Mullins ME, Stein J, Saini SS, Mueller PR. Prevalencein incidental Bochdalek’s hernia in a largeadult population.
AJR
. 2001;177:363-366.
3.
Gale ME. Bochdalek hernia: prevalence and CTcharacteristics.
Radiology
. 1985;156:449-452.