On palpation, the swelling was non-tender, soft, and mobile but did not feel fluid-filled. Here, view ultrasound findings and propose your diagnosis.
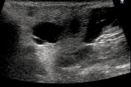
Figure 1. (Click each image to enlarge)

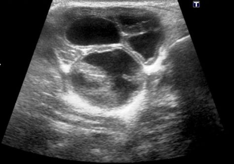
Figure 2.

Figure 3.

A 40-year-old African American man presented to an urban emergency department with a 1-year history of bilateral painless swelling in his neck. He denied fever, dysphagia, dysphonia, paresthesias, sore throat, congestion, cough, wheeze, or shortness of breath.
The patient had incurred a jaw fracture 3 years earlier, which required inter-maxillary fixation to repair. His medical, surgical, and family histories were otherwise unremarkable. He denied any intravenous drug use and admitted to heavy alcohol and tobacco use. He was sexually active at the time of presentation with one female partner.
On physical examination, the patient was normotensive and afebrile. There were no skin color changes or indurations surrounding the swelling. On palpation, the swelling was non-tender, soft, and mobile but did not feel fluid-filled.
Ultrasound of the neck was ordered to determine the composition of the swelling. Findings included bilateral parotid masses identified as enlarged parotid glands with multiple 2- to 3-cm cysts present within the glandular tissue (Figures 1-3).
What diagnosis do the ultrasound images suggest to you?
Please leave your answer below, then CLICK HERE for answer and discussion.