A 41-year-old woman came to the emergency department complaining of pain in the lower right portion of her abdomen that had become steadily worse over the past 2 days.
A 41-year-old woman came to the emergency department complaining of pain in the lower right abdomen that had become steadily worse over the past 2 days. She had a history of hemorrhoids and had passed dark red blood clots in her stool for 2 days. She had given birth via C-section 2 months earlier. The patient was afebrile and had not felt nauseated or vomited since the symptoms began. She had 2 menses after her delivery, the second one 2 weeks before this visit.
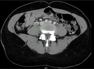
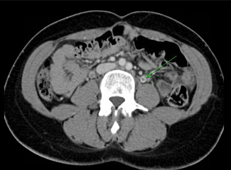
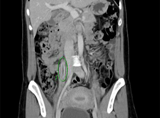
CT scans of the abdomen and pelvis (Figures 1-3) revealed bilateral ovarian vein thrombosis, worse on the right side than the left. A heparin infusion was immediately started to prevent a pulmonary embolism and therapy with broad-spectrum antibiotics (gentamicin and clindamycin) was also initiated.
Figure 1

Figure 2

Figure 3

The abdominal pain improved within 3 days of beginning anticoagulation therapy but did not completely resolve. All IV therapy was discontinued after 3 days and the patient began a 7-day course of moxifloxacin. She was sent home with a prescription for 6 months of anticoagulation with warfarin and asked to follow up with her primary care physician for INR monitoring. Warm compresses improved her residual pain and she was urged to use them at home. She was told to return to the emergency department if the abdominal pain got worse, if she felt chest pain, or felt short of breath.
Three months after her discharge, the patient was doing well but she had discontinued anticoagulation therapy.
Ovarian vein thrombosis is a complication of pregnancy that occurs in 0.05% of vaginal deliveries and 1% to 2% of cesarean deliveries.1 Women with any history of a hypercoaguable state are at increased risk for ovarian vein thrombosis. Patients can present with fever, pelvic pain, and a palpable mass; however, the diagnosis is often made when fever persists despite antibiotic therapy.2,3
Septic pelvic vein thrombophlebitis is a dangerous complication of ovarian vein thrombosis. Antibiotic therapy and anticoagulation must be initiated immediately to decrease the risk of sepsis. Postpartum ovarian vein thrombosis may be the result of vein compression during the labor process or of manipulation during C-section delivery.
Take-home points
• Cesarean section and a history of a hyperacoagulable state increase risk of ovarian vein thrombosis.
• Patient may present with fevers, pelvic pain, and palpable mass.
• Prompt diagnosis is necessary given the risk of sepsis.
• Therapy generally includes a course of antimicrobials and a 6-month course of anticoagulation with warfarin.
References:
1. Dunnihoo DR, Gallaspy JW, Wise RB, Otterson WN. Postpartum ovarian vein thrombophlebitis: a review.
Obstet Gynecol Surv.
1991;46:415-427.
2. Holmström SW, Barrow BP. Postpartum ovarian thrombosis causing severe hydronephrosis.
Obstet Gynecol.
2010;115(pt 2):452-454.
3. Klima DA, Synder TE. Postpartum ovarian vein thrombosis.
Obstet Gynecol.
2008;111:431-435.