Bilateral strokes of the corpus callosum are uncommon because of the rich blood supply of this structure from three main arterial systems.
A 47-year-old man with hypertension, hyperlipidemia, and chronic cocaine and alcohol abuse presented with a 3-day history of right-sided weakness and numbness. A CT scan of the brain showed a left anterior cerebral artery ischemic stroke. Tissue plasminogen activator (tPA) was not given because the event was of 3 days’ duration.
Physical examination revealed right facial weakness; motor strength was 4/5 in the right upper extremity and 3/5 in the right lower extremity. Initial laboratory results were unremarkable. The patient was admitted for observation and later transferred for inpatient rehabilitation.
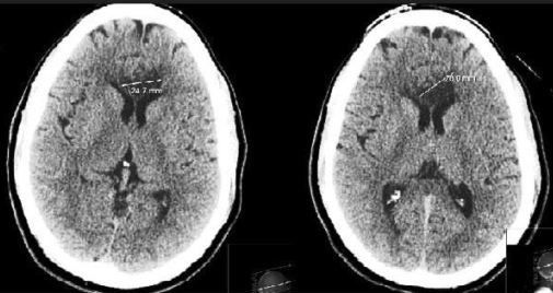
On the second day of rehabilitation, the patient became aphasic and lethargic; he was also found to have abulia (loss or deficiency of willful initiative or drive) and left-sided apraxia (loss of the ability to carry out learned purposeful movements). A second CT brain scan showed a bilateral corpus callosum lesion (Figure). Administration of tPA was deferred because of the recent stroke. Initial differential diagnoses of glioblastoma multiforme, lymphoma, and multiple sclerosis were entertained on the basis of the CT findings. The results of diffusion-weighted MRI of the brain were consistent with corpus callosum ischemic stroke crossing the midline.

The patient underwent subacute rehabilitation; aspirin, clopidogrel, and simvastatin were prescribed. He recovered within several months with only minor residual motor weakness.
Discussion
Bilateral strokes of the corpus callosum are uncommon because of the rich blood supply of this structure from 3 main arterial systems: namely, the anterior communicating, anterior cerebral, and posterior cerebral arteries.1 Also, the corpus callosum is a dense white matter tract, which makes it less sensitive to ischemic injury than gray matter. Moreover, the penetrating arteries of corpus callosum run perpendicular to the parent artery, thus protecting it from emboli. The pericallosal branch of the anterior cerebral artery is typically the main vascular supply to the body.2 Isolated infarcts of the anterior and posterior cerebral arteries are uncommon and usually occur in patients with generalized atherosclerosis associated with long-standing hypertension and diabetes mellitus.
Corpus callosum infarcts may present acutely or with slowly evolving and non-localizing neurologic signs and symptoms that suggest the diagnosis of tumor rather than infarct. In addition, they may exhibit radiologic features more often associated with neoplasm (eg, mass-like enhancement or extension across the midline) that prompt further radiologic imaging, such as MRI or magnetic resonance angiography (MRA), and in some cases even a brain biopsy for definitive diagnosis.
Biopsy may be avoided if clinicians are aware of this entity and use various radiographic studies such as diffusion-weighted imaging, perfusion imaging, magnetic resonance spectroscopy, and MRA to better delineate the lesions. The typical characteristics of tumors on magnetic resonance spectroscopy include decreased levels of N-acetylaspartate and increased levels of choline, whereas infarctions in the acute and subacute stages often contain lactate from anaerobic glycolysis.3 Clinical features of corpus callosum infarcts include interhemispheric disconnection syndromes such as dyspraxia contralateral to a paretic limb, alien hand syndrome, abulia, and isolated gait disorder.4 Clinicians should keep bilateral corpus callosum stroke in the differential diagnosis of bilateral lesions detected on radiologic imaging in patients who have bilateral neurologic features.
References:
1. Chrysikopoulos H, Andreou J, Roussakis A, Pappas J. Infarction of the corpus callosum: computed tomography and magnetic resonance imaging. Eur J Radiol. 1997;25:2-8.
2. Ture U, Yasargil MG, Krisht AF. The arteries of the corpus callosum: a microsurgical anatomic study. Neurosurgery. 1996;39:1075-1085.
3. Ricci PE Jr. Proton MR spectroscopy in ischemic stroke and other vascular disorders. Neuroimaging Clin N Am. 1998;8:881-900.
4. Kasow DL, Destian S, Braun C, et al. Corpus callosum infarcts with atypical clinical and radiologic presentations. AJNR Am J Neuroradiol. 2000;21:1876-1880.