A 68-year-old woman was hospitalized because of confusion and agitation of sudden onset. Her history included dementia and multiple infarcts of both cerebellar hemispheres, bilateral basal ganglia, bilateral parietal lobes, and the right occipital lobe.

Click to Enlarge

Click to Enlarge

Click to Enlarge

Click to Enlarge
A 68-year-old woman was hospitalized because of confusion and agitation of sudden onset. Her history included dementia and multiple infarcts of both cerebellar hemispheres, bilateral basal ganglia, bilateral parietal lobes, and the right occipital lobe.
In the emergency department, the patient made erratic grasping movements with her right (dominant) hand and stated that her arm was "being pulled by a ghost." She said that she was unable to control her left arm and was concerned that she would harm herself or others. For example, she attempted to choke one of the examiners with the left hand, and she wrapped a call button cord around her neck with the same hand. She also had left lower extremity weakness of recent onset.
The patient was oriented to person and place but could name only 3 of 5 objects held in front of her. Asymmetry of the left nasolabial fold was noted. Sensory and visual field findings were unremarkable. There was mild to moderate left hemiparesis. Reflexes were symmetrical with equivocal plantar responses. She was unable to name any of 5 objects placed in her left hand but correctly identified all 5 objects placed in her right hand. She could not distinguish her left hand from the examiner's hand or point to her own body parts using the left hand, but she was able to do so with the right hand.
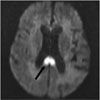
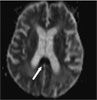
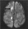
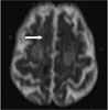
MRI scans of the head revealed acute infarcts (arrows) in the right corona radiata, right centrum semiovale, and anterior and posterior corpus callosum.
The diagnosis based on neurological consultation was alien hand syndrome, which is the loss of control of one or both upper extremities when the involuntary movements of the affected extremity are not caused by a movement disorder.1 Several anatomical lesions have been identified as causes: the corpus callosum alone, the corpus callosum plus the dominant medial frontal cortex, and the posterior cortical and subcortical regions. The posterior form of the syndrome typically results from corticobasal degeneration or from a cerebrovascular accident.2 The anterior forms are associated with anterior cerebral artery territory infarction.
Lesions that involve the corpus callosum alone typically present with the hands acting in conflict with each other (intermanual conflict): for example, one hand would attempt to button a shirt while the other hand would undo the buttons. Limb paresis is typically not present.2
Frontocallosal injury results in compulsive grasping behaviors. Generally, the dominant ipsilateral hand is affected. It is hypothesized that transcortical inhibition from the right frontal lobe onto the left supplementary motor area must be impaired for the manifestation of a right dominant alien hand.3 There is associated paresis of the contralateral leg as well.2
The posterior form of alien hand syndrome typically involves the nondominant hand. This hand displays levitation and nonpurposeful movements. There is a tendency to assume abnormal postures when corticobasal degeneration is present. Sensory impairment and body schema distortion are found in patients with this lesion.2
In this patient, the syndrome manifested by her left hand can be attributed to the posterior callosal infarct, while the grasping nature of her dominant right “alien” hand may result from a new anterior callosal infarct combined with the prior parietal lobe infarct. Despite the association of this syndrome with Alzheimer- type dementia, we believe our patient's condition was related to the new infarcts.
REFERENCES:
1. Geschwind DH, Iacoboni M, Mega MS, et al. Alien hand syndrome: interhemispheric motor disconnection due to a lesion in the midbody of the corpus callosum. Neurology. 1995;45:802-808.
2. Marey-Lopez J, Rubio-Nazabal E, Alonso-Magdalena L, Lopez-Facal S. Posterior alien hand syndrome after a right thalamic infarct. J Neurol Neurosurg Psychiatry. 2002;73:447-449.
3. Feinberg TE, Schindler RJ, Flanagan NG, Haber LD. Two alien hand syndromes. Neurology. 1992;42:19-24.