
A 50-year-old man presented to the emergency department with complaints of episodic chest pain. The pain was right-sided, nonexertional, and nonradiating and was associated with shortness of breath. The patient appeared in mild distress but was otherwise healthy.
First and second heart sounds were normal; there were no murmurs, rubs, or gallops. Pulses were present, and there was no peripheral edema. There were no splinter hemorrhages noted in the nail beds; palms were free of erythema, and funduscopic findings were within normal limits. Chest films were normal, as was a 12-lead ECG. Blood chemistries and troponin-I levels were within normal limits.
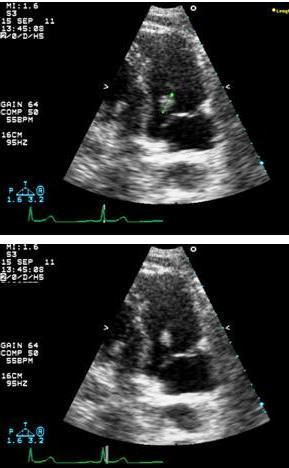
An echocardiogram revealed a 1.3-cm mobile mass attached to the tricuspid valve (Figure, green line, top image). The differential diagnosis included clot in transit, cardiac tumor, and cardiac vegetation.
Infective endocarditis was ruled out in the absence of fever, signs of valvular dysfunction, and a history of intravenous drug abuse. Blood cultures were negative for microorganisms. CT scans found no evidence of pulmonary embolism but did reveal gallstones. The patient's chest pain was thus thought to be secondary to gallstones.
A cardiac surgeon was consulted and recommended resection of the valvular mass. During the resection, cardiac catheterization showed normal coronary vasculature. Histologic examination confirmed the mass to be a benign papillary fibroelastoma (PFE). The patient was discharged home and a follow-up echocardiogram showed resolution of the mass with no evidence of valvular dysfunction.
Discussion
Primary cardiac tumors are extremely rare. A review of 12,000 autopsies performed over 20 years found only 7 cases.1 PFEs are benign tumors of heart and historically have been diagnosed at autopsy. The routine use of echocardiography, however, is likely to increase the number of diagnoses.
PFEs occur more frequently on the left side of the heart than on the right side. These benign tumors are thrombogenic and pose serious risks of pulmonary or systemic embolism. If diagnosed in the context of stroke or accompanied by signs of systemic embolism, resection is required.
Primary cardiac tumor must be in the differential diagnosis of any patient who presents with the following symptoms or symptom clusters: pericardial effusion and tamponade, constrictive pericarditis, syncope, dyspnea, angina, edema, ascites, pulmonary hypertension, systemic and pulmonary emboli, recurrent supraventricular or venticular arrhythmias, and any combination of murmurs.
The first case of tricuspid valve fibroelastoma diagnosed by echocardiography was reported in 1983.2 A literature search reveals one case of tricuspid valve fibroelastoma with pulmonary embolism.3 Another case report described intermittent dyspnea caused by tricuspid valve fibroelastoma. Symptoms resolved after tumor excision.4 In a third case of asymptomatic PFE diagnosed incidentally by echocardiography and followed nonsurgically, no symptoms or complications attributable to the mass developed and there was no increase in lesion size at 3-year follow-up based on repeated echocardiograms.5
Consensus supports excision of left-sided or symptomatic lesions, although there are no firm guidelines on how to manage right-sided PFEs. That said, surgery is shown to be curative, and there have been no reported cases of recurrence.
References:
1. Lam KY, Dickens P, Chan AC. Tumors of the heart. A 20-year experience with a review of 12,485 consecutive autopsies. Arch Pathol Lab Med. 1993;117:1027-1031.
2. Frumin H, O’Donnell L, Kerin NZ, et al. Two-dimensional echocardiographic detection and diagnostic features of tricuspid valve fibroelastoma. J Am Coll Cardiol. 1983;2:1016-1018.
3. Neerukonda SK, Jantz RD, Vijay NK, et al. Pulmonary embolization of papillary fibroelastoma arising from the tricuspid valve. Tex Heart Inst J. 1991;18:132-135.
4. Georghiou GP, Erez E, Vidne BA, Aravot D. Tricuspid valve papillary fibroelastoma: an unusual cause of intermittent dyspnea. Eur J Cardiothorac Surg. 2003;23:429-431.
5. Seol S-H, Kim D-S, Han Y-C, et al. Nonsurgical management of a tricuspid valvular pedunculated papillary fibroelastoma. Cardiovasc Ultrasound. 2009;7:44.