In the ED the patient says the shortness of breath began the night before after he took ibuprofen for a flare of back pain. Is there a connection?
Figure 1. (Please click to enlarge)

Figure 2. Page shot (Please click to enlarge)

History
A 76-year-old man with no history of COPD or asthma presents to the emergency department complaining of shortness of breath. He states that he had had a flare of his usual back pain for the past week for which he is taking “left over” tramadol. The trouble breathing started last night after taking ibuprofen, which he hasn’t taken in months. He also has mild left lower quadrant pain that started 2 days ago. He denies fever, vomiting, diarrhea, chest pain, or other complaints.
Examination
Vital signs are normal. Physical examination is notable for bilateral lung wheezing but no rales; tachycardia at a rate of 115 beats/min; and, mild tenderness in the epigastric area and left lower quadrant of the abdomen. Findings of the remainder of the examination are normal.
Tests
What do you think is causing the patient’s pain?
Please click below for answer and discussion.
What do you think is causing the patient’s pain?
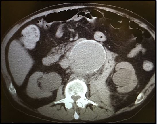
Answer. An abdominal aortic aneurysm (AAA). The CT scan (Figure 1) shows a 9- x 8-cm ruptured infrarenal AAA with retroperitoneal hemorrhage. Bilateral renal cysts are noted incidentally.
Discussion
Ruptured or leaking AAA typically presents with back, flank, and/or upper abdominal pain. Syncope or near syncope may also occur. It can mimic many other conditions, such as renal colic, lumbar strain, and a variety of other conditions (see page shot in Figure 2 at right) AAA can also be asymptomatic; detection at this stage has a better prognosis.
Examination. Physical exam will be notable for a pulsatile mass in about 50% of cases. Obviously this will be harder to appreciate in obese patients. If the AAA has ruptured, BP may be low, but this hypotension can be transient if the bleeding subsequently stops, which it often does, at least temporarily.
Imaging. In unstable patients, the imaging study of choice is provider-performed bedside ultrasound as delays to surgery can increase mortality. If ultrasound is not available a KUB radiograph has a sensitivity of about 60%. If the patient is stable, a CT scan of the abdomen should be performed, but a vascular surgeon should be contacted first if clinical suspicion for AAA is high. Contrast is not needed to make the diagnosis of AAA or leaking AAA, but most vascular surgeons will request it.
Treatment. Treatment of ruptured AAA used to be surgical in all cases, but now many are treated with percutaneous endovascular stent grafts, especially in elective cases where the diagnosis is made prior to rupture. For other subtleties of treatment and stabilization as well as post-operative complications click again on the page shot in Figure 2 above and refer to the highlighted area.
Case outcome
The patient underwent endovascular stent repair of his AAA and did well.
For other at-a-glance information, visit The Emergency Medicine 1-Minute Consult Pocketbook