Back and neck complaints rank among the top reasons for visits to primary care physicians. Take this week’s photo quiz to test your knowledge of these sometimes mysterious disorders.

Question 1:
A 43-year-old woman had worsening thoracic and lumbar pain associated with tingling and tightness in the anterior upper and lower abdominal area. An urgent MRI of the thoracic spine showed a soft tissue mass that extended from C7 to T4 and involved the prevertebral, paravertebral, and intraspinal spaces (arrow); this caused compression and posterior displacement of the spinal cord and an anterior T2 vertebrae compression fracture.
NEXT QUESTION »
For the discussion, click here.

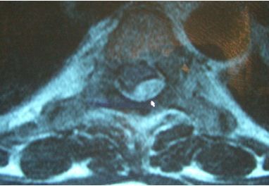
Question 2:
A 55-year-old male computer programmer worries that he has carpal tunnel syndrome because of numbness on his thumb, index, and middle finger. Now the hand occasionally feels weak and he occasionally gets an electric shock feeling between his shoulder blades when he is chewing or protrudes his jaw. There has been no injury and there are no other complaints. Vital signs are all normal, as are inspections of the head and neck. You note a positive Hoffman sign.
NEXT QUESTION »
For the discussion, click here.

Question 3:
A 29-year-old man presented with a 4-year history of headache and severe neck pain that increased in intensity with coughing, lifting, or exercising. On palpation, there was paraspinal and bony prominence tenderness. No abnormalities were seen on a flexion-extension radiograph of the cervical spine. A cervical MRI scan without contrast revealed a Chiari I malformation with herniation of the cerebellar tonsils measuring up to 2.7 cm (arrow) and extensive syringomyelia (arrowheads).
NEXT QUESTION »
For the discussion, click here.
For the answer, click here.

Question 4:
An obese woman presented with worsening back pain that extended from below her neck to her waist in the midline. She had been constipated and had difficulty urinating. Both legs started to feel “wobbly” and numb. The presence of fever and back pain indicated she had meningismus. This MRI scan shows a spinal epidural abscess (SEA; white arrow). The diagnosis of SEA often is late because its presentation is indolent and most patients who present with similar complaints have other, less serious conditions.
NEXT QUESTION »
For the discussion, click here.

Question 5:
A 42-year-old woman had a “life-long” history of mild to moderate low back pain, without radiation, anesthesia, weakness, or incontinence. The pain was constant and worse at the end of the day and with prolonged activity. An MRI scan without contrast of the lumbar spine revealed a sagittal division of the spinal cord into 2 halves at the L2-3 level separated by a cartilaginous septum.
NEXT QUESTION »
For the discussion, click here.

Question 6:
A woman in her 20s presented after 9 days of sore throat and subjective fevers followed by neck stiffness. The pain was exacerbated by swallowing and any neck motion. A radiograph of the young woman with meningeal signs shows widening of the prevertebral soft tissues. At first glance the soft tissues may appear normal, but there should be a step-off around C3-4, which is not noted in this film. Normal prevertebral soft tissues should measure less than 6 mm at C2 and less than 22 mm at C6.
NEXT QUESTION »
For the discussion, click here.

Question 7:
An 82-year-old African American male with a history of polyarticular tophaceous gout presented to the ED with acute onset of dizziness, neck pain, and bilateral upper extremity weakness. Cervical spine X-rays showed diffuse osteopenia with maintained vertebral body heights. A CT scan showed destruction and separation of the dens, with erosive changes. This MRI scan revealed erosive arthritis with callous formation involving the C1-2 joint and odontoid process. The diagnosis was spinal gout.
ANSWER KEY »
For the discussion, click here.
ANSWER KEY:
Question 1. C
Question 2. C
Question 3. A
Question 4. D
Question 5. B
Question 6. C
Question 7. B