For 10 days, a 55-year-old man had a productive cough and progressively worsening rightsided chest pain that was sharp, nonexertional, and worse with deep inspiration and movement. He denied hemoptysis, fevers, sick contacts, or recent travel.
For 10 days, a 55-year-old man had a productive cough and progressively worsening rightsided chest pain that was sharp, nonexertional, and worse with deep inspiration and movement. He denied hemoptysis, fevers, sick contacts, or recent travel.

The patient had diabetes, for which he took 2 oral medications. He also had a history of tuberculosis that was successfully treated 20 years earlier when he was in prison.
He denied use of alcohol, tobacco, or illicit drugs. He had used crack cocaine in the past; his last use was 6 months earlier. He currently lived in a sober-living group home.
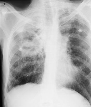
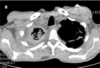
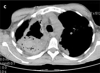
The patient was afebrile. Oxygen saturation was 99% on room air. Positive findings were dry inspiratory crackles and rhonchi in the right lung field, and a mobile, 1 x 1-cm, mildly tender right cervical lymph node. A chest radiograph revealed right apical pleural thickening involving the upper half of the right hemithorax, cavitation with an air-fluid level, emphysematous bullae, and scarring in the left upper lung (A). A CT scan of the chest showed a complex 7.6 x 6.2-cm cavity with thick and irregular walls in the right lung with volume loss and scarring (B and C). An extensive amount of heterogeneous material was located within the cavity. Scarring and bronchiectasis in the left upper lung and multiple lymph nodes (the largest, 2 x 2 cm) in the right hilum were also noted.
The patient was isolated pending the results of tuberculosis testing and given vancomycin, azithromycin, and ceftriaxone for presumed pneumonia. All studies were negative for tuberculosis. HIV test results were also negative. The hemoglobin A1c level was 18.1% of total hemoglobin. A bronchoscopy with bronchoaveolar lavage revealed Aspergillus niger. Respiratory culture and transbronchial biopsy also revealed A niger.

Aspergillus species cause a spectrum of disease ranging from airway colonization to life-threatening illness.1 Aspergilloma is the most common form of pulmonary involvement, and most cases are attributable to Aspergillus fumigatus. It is usually accompanied by preexisting lung disease. The underlying architectural abnormalities most commonly stem from tuberculosis,2 although other associated conditions, such as sarcoidosis, bronchiectasis, and neoplasm, have been documented.3,4
Simple aspergilloma-a single cavity containing a fungal ball- occurs in nonimmunocompromised patients and is relatively stable over time. It is usually treated with surgical resection. Hemoptysis is the most common clinical manifestation, although recurrent (presumably bacterial) infections may occur.
Chronic necrotizing aspergillosis, characterized by slowly progressive local tissue invasion and pleural thickening, may occur in mildly immunocompromised patients (eg, those with diabetes).5 Without prior imaging or histological demonstration of tissue invasion, chronic necrotizing aspergillosis diagnosis is difficult.

The findings in this case were most consistent with simple aspergilloma, even though it is unusual for tuberculosis to cause such an enormous cavitary lesion and A niger is rarely implicated in aspergillomas, despite its well-documented pathogenic potential. Although the patient had evidence of pleural thickening and poorly controlled diabetes, the presence of lung scarring and acquired pneumonia could explain these findings.
This patient responded rapidly to antibiotics. Because of this quick response and the lack of hemoptysis, surgical resection was deemed inappropriate. The patient will be closely monitored as an outpatient.
REFERENCES:
1.
Soubani AO, Chandrasekar PH. The clinical spectrum of pulmonary aspergillosis. Chest. 2002;121:1988-1999.
2.
Kawamura S, Maesaki S, Tomono K, et al. Clinical evaluation of 61 patients with pulmonary aspergilloma. Intern Med. 2000;39:209-212.
3.
Kauffman CA. Quandary about treatment of aspergillomas persists. Lancet. 1996;347:1640.
4.
Zizzo G, Castriota-Scanderbeg A, Zarrelli N, et al. Pulmonary aspergillosis complicating ankylosing spondylitis. Radiol Med. 1996;91:817-818.
5.
Binder RE, Faling LJ, Pugatch RD, et al. Chronic necrotizing pulmonary aspergillosis: a discrete clinical entity. Medicine (Baltimore). 1982;61:109-124.