A 59-year-old man presented with painful paraparesis of acute onset, severe low back pain, and shortness of breath. On initial examination, he had 0/5 strength and numbness in his lower extremities. The skin from below his umbilicus to his lower legs was pale.
A 59-year-old man presented with painful paraparesis of acute onset, severe low back pain, and shortness of breath. On initial examination, he had 0/5 strength and numbness in his lower extremities. The skin from below his umbilicus to his lower legs was pale.


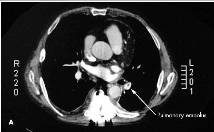
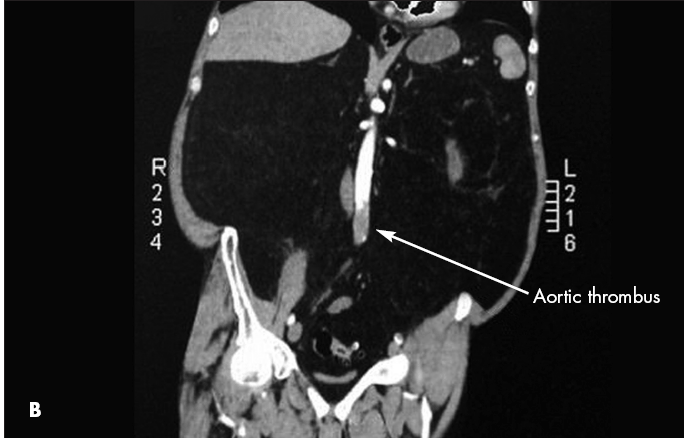
CT scans showed both a pulmonary embolus (A) and a thrombus in the wall of the abdominal aorta (B). Anticoagulation therapy was initiated. A Doppler study showed a left lower extremity deep venous thrombus. Further evaluation with transesophageal echocardiography showed a patent foramen ovale (C) and an interatrial aneurysm, with a positive bubble study.* The patient had no known history of either condition. Because of the patent foramen ovale, thrombi had traveled not only to the lungs but also to the aorta. This likely caused the spinal ischemia and paraparesis.

The symptoms resolved after 6 hours. The patient walked out of the hospital after 8 days but required oxygen because of the pulmonary embolus. New medications included fondaparinux and warfarin. He was referred to cardiothoracic surgery. Three months later, he underwent patent foramen ovale and atrial septal defect closure.