Some 30% of cases of acute appendicitis in children are associated with appendicolith.
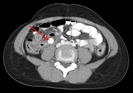
Figure 1. (Click figures to enlarge)

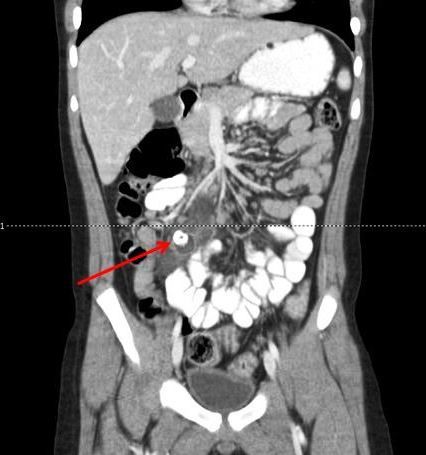
Figure 2.

A 9-year-old Hispanic boy was admitted to the county hospital after 1 day of crampy abdominal pain, emesis, and anorexia. His pain started in the left lower quadrant and then migrated to the right lower quadrant. There was a mild cough but no fever, diarrhea, constipation, dysuria, or rash. His past medical history included an open appendectomy for acute appendicitis with perforation 5½ years earlier that was complicated by prolonged ileus and a wound infection. He was discharged 11 days after the operation with no further complications. Childhood immunizations were up to date and the patient denied any allergies. There were no identified sick contacts and no report of recent travel.
On physical examination, the patient was afebrile and all other vital signs were within normal limits. His abdomen was flat with a small transverse incision scar over McBurney point, and bowel sounds were normal. He exhibited tenderness to palpation with guarding in the right lower quadrant but no rebound tenderness.
His WBC count was 20.6 x 103/µL (20.6 x 109/L) with a predominance of neutrophils and bands. Other blood cell counts, electrolytes, and urine analysis results were within normal limits. Liver function tests were: amylase, 62 U/L; lipase, 196 U/L; AST, 26 U/L; ALT, 37 U/L; T bili, 0.6 mg/dL; D bili, 0.1 mg/dL; alk phos 305 U/L.
The differential diagnosis at this point included Crohn disease, Meckel diverticulum, stump appendicitis, retained appendicolith, mesenteric adenitis, bowel obstruction from adhesions, intussusception, incarcerated hernia.
What tests would you order next?
What’s your diagnosis?
Answers
CT scan of the abdomen with contrast showed a 1.1-cm calcified density in the right lower quadrant and an adjacent 1.8 x 1.8-cm fluid collection (Figures 1, 2). The patient underwent exploratory laparotomy the next day and was found to have an appendicolith embedded below the mesentery of the terminal ileum with adjacent abscess; no appendiceal stump was present. A diagnosis of retained appendicolith with abscess formation was made, and the abscess and nidus were removed. The patient rapidly improved without complication and was discharged 1 week following surgery.
Discussion
In a patient with a history of acute appendicitis and appendectomy, presence of an appendicolith in the abdominal cavity suggests either retention after initial appendectomy or impaction and subsequent inflammation of the appendiceal stump. Some 30% of cases of acute appendicitis in children are associated with appendicolith.1 When perforation occurs, the appendicolith can be released into the abdominal cavity and missed during surgery, thus becoming a nidus for infection, even years down the road.1 Likewise, residual tissue left at the appendiceal stump can become impacted by a new fecalith, causing inflammation and infection that present with symptoms identical to those of acute appendicitis. This condition is known as stump appendicitis.
Both retained appendicolith after appendectomy and stump appendicitis are rare but likely underreported conditions, with case reports numbering less than 30 and 60 over the past 40 years, respectively.2,3 Both can present months to years after initial infection, either in childhood or adulthood.1-4 Nevertheless, a high index of suspicion is important for these conditions because of the potential for complications, including diffuse peritonitis.3,5 A child with a history of previous appendectomy is still at risk for appendix-related complications, even years following surgery.
Treatment for retained appendicolith or stump appendicitis is open or laparoscopic surgery, allowing for drainage of the abscess and extraction of the calculus.1,2 For cases of stump appendicitis, removal of the stump is indicated.3 One week of postoperative antibiotics is usually sufficient, and patients are then typically discharged if afebrile and tolerating a normal diet.
Take-Home Points
o A high index of suspicion for appendix-related disease is necessary in any patient presenting with right lower quadrant pain, regardless of a history of appendectomy.
o Retained appendicolith and stump appendicitis are rare complications following appendectomy that present symptomatically similar to acute appendicitis and are a surgical emergency.
o Whether the most useful diagnostic test is abdominal ultrasonography or abdominal CT is contested in the literature; however, in our experience, the preference for high-resolution imaging before surgery may make abdominal CT a better initial choice if stump appendicitis or retained appendicolith is suspected.
FDA Approves Updated Indication Statement for Upadacitinib in Inflammatory Bowel Disease Treatment
October 14th 2025FDA approves updated indication for upadacitinib in ulcerative colitis and Crohn disease treatment, allowing use after one systemic therapy when TNF blockers are clinically inadvisable.
Clinical Tips for Using Antibiotics and Corticosteroids in IBD
January 5th 2013The goals of therapy for patients with inflammatory bowel disorder include inducing and maintaining a steroid-free remission, preventing and treating the complications of the disease, minimizing treatment toxicity, achieving mucosal healing, and enhancing quality of life.