A 51-year-old man with a long history of alcohol abuse and heavy cigarette smoking presented to our hospital with worsening of a chronic cough, which had become productive of thick green sputum and was associated with posttussive emesis. He denied fevers and chills but had a recent and unintentional weight loss of about 5 kg. He had a history of squamous cell carcinoma of the right tonsil, which remained in remission for more than 4 years after chemotherapy, radiation therapy, and resection. There was no recent history of travel or any occupational exposures or known contacts with tuberculosis or animals (wild or domestic).
A 51-year-old man with a long history of alcohol abuse and heavy cigarette smoking presented to our hospital with worsening of a chronic cough, which had become productive of thick green sputum and was associated with posttussive emesis. He denied fevers and chills but had a recent and unintentional weight loss of about 5 kg. He had a history of squamous cell carcinoma of the right tonsil, which remained in remission for more than 4 years after chemotherapy, radiation therapy, and resection. There was no recent history of travel or any occupational exposures or known contacts with tuberculosis or animals (wild or domestic).
Significant physical examination findings included a general appearance of cachexia. The patient's temperature on

admission was 37.3°C (99.14°F). He had an erythematous rash with spider veins on his face that was consistent with rosacea. The chest examination was notable for an increased anterior-posterior diameter and, on auscultation, coarse breath sounds throughout that resonated from the upper airway. He was unable to ambulate because of ataxia and deconditioning and was tremulous with marked left-sided dysmetria on finger-to-nose testing.
Notable abnormal laboratory values included a white blood cell (WBC) count of 2400/µL, with a differential of 77% polymorphonuclear leukocytes, 7% lymphocytes, and 16% monocytes. His hemoglobin level was 9.7 g/dL and platelet count was 67,000/µL. The

initial metabolic profile revealed an anion gap of 26 and hyponatremia (sodium level, 132 mEq/L). The aspartate aminotransferase and alanine aminotransferase levels were 46 U/L and 14 U/L, respectively.
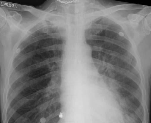
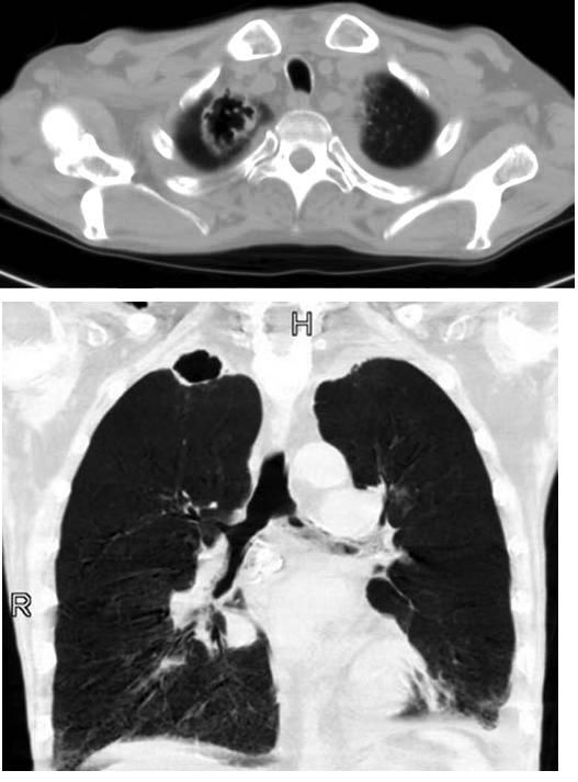
A chest radiograph suggested only scarring in the apex of the right lung (Figure 1); however, a CT scan revealed a thin-walled cavity, measuring approximately 3.9 cm in diameter, with several small adjacent satellite nodules (Figure 2). Acid-fast smears of 3 expectorated sputum samples showed no organisms, and Gram staining showed normal upper respiratory tract flora with a few WBCs.
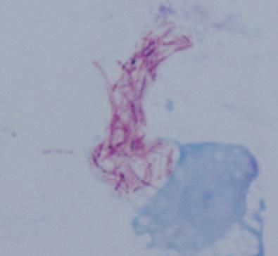
Shortly after the patient was admitted, he lapsed into delirium tremens and then required intubation and vasopressor support after a presumed aspiration event. Specimens from bronchoalveolar lavage (BAL) of the right upper lobe were submitted for Gram, acid-fast, methenamine silver, Papanicolaou, and modified Wright stains, all of which had unremarkable results for any organisms or malignancy. A Fite stain, however, revealed

filamentous bacilli (Figure 3). Purified protein derivative (PPD) skin test results were nonreactive, and HIV enzyme-linked immunosorbent assay results were negative.
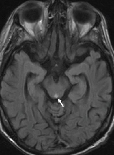
To further evaluate his neurological deficits, MRI of the brain was performed. An increased signal within the pons with a central focus of restricted diffusion was described (Figure 4).

What is the likely diagnosis?
ANSWER:
Initially, the patient was treated with trimethoprim/sulfamethoxazole for presumed pulmonary nocardiosis. On the basis of the preliminary neuroimaging findings, the antibiotic therapy was switched to meropenem for presumed nocardiosis with CNS involvement. However, 3 weeks after collection, the 3 specimens (1 from the BAL and 2 from expectorated sputum) grew Mycobacterium kansasii, and the diagnosis of pulmonary infection with M kansasii was confirmed by polymerase chain reaction analysis.
Further review of the MRI scan of the brain revealed that the pontine lesion appeared more vascular in nature than infectious. Our patient was treated with a combination of isoniazid, 300 mg; rifampin, 600 mg; and ethambutol, 25 mg/kg (1300 mg), orally every day. He was discharged to a subacute-care facility with follow-up arranged in our outpatient clinic.
Discussion
The differential diagnosis of an apical cavitary lesion includes pulmonary tuberculosis, nontuberculous mycobacterial infection, nocardiosis, and malignancy. Smear microscopy is the most rapid and inexpensive method for diagnosing infections caused by mycobacteria, but its sensitivity for tuberculosis varies from 22% to 80%1 Other nontuberculous mycobacteria; Legionella micdadei; and Actinobacteria, such as Rhodococcus, Nocardia, Tsukamurella, and Gordona species, can also variably stain acid-fast.2 Nontuberculous mycobacteria may appear pleomorphic, as either long filaments or coccoid. In sputum smears, M kansasii often appears larger than Mycobacterium tuberculosis, as cross-banding bacilli or as a "shepherd's crook."3,4
The principle behind acid-fast stains is that heat forces dye into the cell. Mycolic acids in the cell wall make the organisms resistant to decolorization with an acid-alcohol solvent. Fluorochrome stains, such as auramine-rhodamine, are preferred because they tend to be more sensitive and less time-consuming than fuchsin stains because smears can be viewed at lower magnifications. The Fite stain is a modified acid-fast stain that uses fuchsin and a weaker decolorizer. These stains are more sensitive for weakly acid-fast organisms such as Nocardia species. On modified acid-fast stains, M tuberculosis can appear as beaded bacilli in parallel strands. M kansasii tends to appear as long, often broad, and banded bacilli with bent or folded ends; Mycobacterium avium appears as short coccobacilli, and Nocardia appears as speckled branches.2,5
Although a presumptive diagnosis can be made with positive smears and radiographic evidence, the definitive diagnosis requires culture and speciation, which often takes several weeks to months. Aerobic actinomycetes should grow readily from respiratory specimens, but Nocardia can also be fastidious and take up to 19 days to appear as colonies on routine media. Furthermore, some antibiotics in fungal media may inhibit the growth of some Nocardia species.6
M kansasii is a slow-growing, nontuberculous mycobacterium that causes opportunistic pulmonary infections that can resemble pulmonary tuberculosis. Person-to-person transmission has not been documented, but infection is likely acquired by aspiration or inhalation from the environment. The areas of highest incidence are in the midwestern and southwestern United States.
In a retrospective study in Illinois, M kansasii infection was strongly associated with malignancies, prior diagnosis of tuberculosis, and gastrectomy.7 A positive PPD reaction of greater than 10 mm was found in 59% of those tested. These infections rarely spared the upper lobes. This patient population consisted of veterans, most of whom were white, middle-aged men who smoked heavily, had emphysema, and abused alcohol.
In another laboratory-based surveillance study in the San Francisco Bay area, nearly 70% of patients with M kansasii infection were HIV positive. 8 Among patients with AIDS, the rate of M kansasii infection was disproportionately elevated in African Americans and in women. The median CD4+ cell count was 20/μL, and 75% of patients had previous or concurrent opportunistic infections. Sputum smears positive for acid-fast bacilli were more frequent in HIV-positive patients than in HIV-negative patients, but cavitary disease was more common in HIV-negative patients.
Although the appearance of acid-fast organisms on smear microscopy can give valuable diagnostic clues, it does not provide a species identification; the definitive diagnosis requires culture and molecular typing. A combination of host factors (including immunocompromised conditions), exposure history, radiographic appearance, and rapid results from acid-fast smears can guide therapeutic choices while final culture results are awaited.
REFERENCES
1. Lipsky BA, Gates J, Tenover FC, Plorde JJ. Factors affecting the clinical value of microscopy for acid-fast bacilli. Rev Infect Dis. 1984;6:214-222.
2. Chapin KC, Lauderdale TL. Reagents, stains and media: bacteriology. In: Murray PR, Baron EJ, Jorgensen JH, et al, eds. Manual of Clinical Microbiology. 9th ed. Washington, DC: ASM Press; 2007:334-364.
3. Woods GL, Walker DH. Detection of infection or infectious agents by use of cytologic and histologic stains. Clin Microbiol Rev. 1996;9:382-404.
4. Attorri S, Dunbar S, Clarridge JE. Assessment of morphology for rapid presumptive identification of Mycobacterium tuberculosis and Mycobacterium kansasii. J Clin Microbiol. 2000;38:1426-1429.
5. Smith MB, Molina CP, Schnadig VJ, et al. Pathologic features of Mycobacterium kansasii infection in patients with acquired immunodeficiency syndrome. Arch Pathol Lab Med. 2003;127:554-560.
6. Conville PS, Witebsky FG. Nocardia, Rhodococcus, Gordonia, Actinomadura, Streptomyces and other aerobic actinomycetes. In: Murray PR, Baron EJ, Jorgensen JH, et al, eds. Manual of Clinical Microbiology. 9th ed. Washington, DC: ASM Press; 2007:515-542.
7. Maliwan N, Zvetina JR. Clinical features and follow up of 302 patients with Mycobacterium kansasii pulmonary infection: a 50 year experience. Postgrad Med J. 2005;81:530-533.
8. Bloch KC, Zwerling L, Pletcher MJ, et al. Incidence and clinical implications of isolation of Mycobacterium kansasii: results of a 5-year, population-based study. Ann Intern Med. 1998;129:698-704.