A 68-year-old woman with a history of hypertension, hyperlipidemia, and tobacco use presented with her third stroke in the past 7 years. Neurological deficits included dysarthria and left-sided motor and sensory loss. A previous transthoracic echocardiogram with a bubble study did not reveal any cardiac source of embolism. Axial MRI of the brain on admission showed an abnormal signal in the bilateral hemispheres representative of multiple subacute infarcts


A 68-year-old woman with a history of hypertension, hyperlipidemia, and tobacco use presented with her third stroke in the past 7 years. Neurological deficits included dysarthria and left-sided motor and sensory loss.
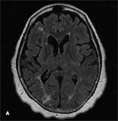
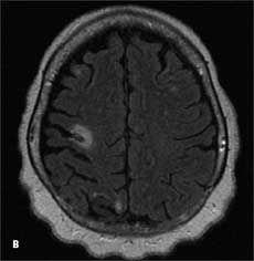
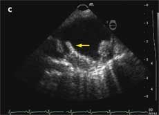
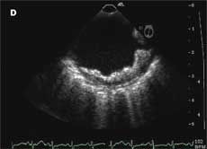
A previous transthoracic echocardiogram with a bubble study did not reveal any cardiac source of embolism. Axial MRI of the brain on admission showed an abnormal signal in the bilateral hemispheres representative of multiple subacute infarcts (Aand B); the right posterior frontal and right posterior parietal cortical and subcortical regions appeared to be most affected. A transesophageal echocardiogram revealed a severely thick atherosclerotic plaque with a large pedunculated mobile complex atheroma (C, arrow) in the upper descending aorta; the aortic arch showed severe atherosclerotic plaques with maximal thickness up to 10 mm (D).
Atherosclerotic plaques of 4 mm or greater in the aortic arch are significant predictors of recurrent brain infarctions. Transesophageal echocardiography should be considered for early detection in patients with an unidentified source of embolism.


FOR MORE INFORMATION:
• The French Study of Aortic Plaques in Stroke Group. Atherosclerotic disease of the aortic arch as a risk factor for recurrent ischemic stroke.
N Engl J Med
. 1996;334:1216-1221.