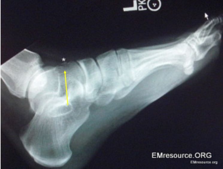
Missed fractures of the foot are not uncommon. Examine the lateral x-ray view of this injury carefully to understand why.
Figure. Note lesion at arrow. Click to enlarge.

A 32-year-old man presents to the emergency department with a foot injury that occurred when he landed on a rock after jumping down from a 7-foot wall onto uneven ground. He denies other injury and points to the forefoot and lateral malleolus as the areas of most severe pain. He is unable to walk.
On physical exam, the skin is intact and there is mild foot swelling, but no deformity, bruising or tense compartments. There is tenderness to entire proximal foot and to the lateral malleolus so plain film x-rays are ordered. The AP and mortise views are normal. The lateral view is shown below.
Answer: Anterior talus fracture
There is a subtle fracture on the superior part of the anterior talus. See Figure, above, and note area at point of arrow.Please click image to enlarge. Discussion
The most common type of foot fracture (excluding those of the toe) is the Dancer’s fracture, which is discussed briefly in the Table outlining foot fractures, below. The most serious types of foot fractures in terms of prognosis and risk for complications are calcaneal, Lisfranc, and Jones fractures. These are also covered briefly in the Table.
Missed fractures of the foot are not uncommon. Those most commonly missed on plain films include stress fractures, Lisfranc and calcaneal fractures, and talar avulsion fractures. Calcaneal and Lisfranc fractures usually cause severe swelling and disability, so clinically, if they are missed initially, the patient will likely seek care again soon. Talar avulsion fractures and stress fractures may cause less disability. The tallus is the most proximal bone of the foot and articulates with the tibia and fibula. Talar avulsion fractures may occur at multiple locations. Ankle pain is often the presenting complaint and the lesion is best seen on an AP view of the ankle and appears as a small avulsion lateral to the talus.  
The talar avulsion fracture in this patient is also small with only slight displacement and is seen hovering just above the mid to anterior talus. Treatment usually includes a period of immobilization followed by gradual return to activity. Crutches are advised initially. Avulsion fractures tend to do well and require less aggressive treatment than fractures through the body of the talus.
 
Table.
{C}
Click on image for additional information.