Fever and confusion bring the young man in his twenties to the ED; roommates relate he's been weak and flu-like for 5 days. What's your diagnosis?
Brady Pregerson, MD

History of present illness. A man in his late twenties is brought to the emergency department by ambulance for confusion and fever. Medics relate that the patient’s roommates told them that he has been feeling weak for about 5 days with fever and body aches, but then today started acting inappropriately and confused. The patient is able to give a history as well and admits to a mild headache and subjective fever but denies vomiting, focal weakness, cough, shortness of breath, or other complaints.
Vital signs and physical examination. Vital signs are normal except for a fever of 38.5°C. The physical exam is otherwise normal except for mild to moderate confusion. There are no focal neurologic findings or photophobia, and the jolt sign is negative.
Initial diagnostic testing
Laboratory findings: WBC 7.1 with 85% PMNs. Toxicology screen is negative. Metabolic panel is normal except sodium is 131 mmol/L.
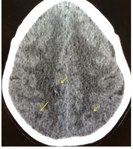
Imaging: A CT scan is done of the head. The cut shown below includes yellow arrows highlighting abnormalities.
