Are this young woman’s chest pain and SOB a reaction to Levaquin, started a few days ago? She’s had a similar reaction to other antibiotics. Your Dx?
Figure 1. (Please click to enlarge)

Figure 2. (Please click to enlarge)

Figure 3. (Please click to enlarge)

History: A 31-year-old woman with a history of spinal cord injury, eczema, and asthma was started on Levaquin 3 days ago for a UTI and simultaneous upper respiratory infection comes to the ED for chest pain and shortness of breath (SOB) that began yesterday. She thinks it may be caused by the Levaquin because she has never taken this antibiotic before and the pain seems to start or worsen within an hour of each dose. Also, although she has no rash this time, she says that the chest pain feels similar to an adverse reaction she has had in the past to a different antibiotic. The chest pain is constant and nonpleuritic and feels better after using her inhaler. She came in today because she stopped taking the Levaquin yesterday, but her chest pain and SOB have only slightly improved.
Examination: Vital signs were normal. The physical examination was normal except for pre-existing paraplegia. Specifically there is no JVD and the lungs are clear without wheezing or rales. There is also no CVA tenderness, peripheral edema, or rash.
Initial Concerns: Allergic reaction, acute coronary syndrome (ACS), pulmonary embolism (PE), asthma, pneumonia
Laboratory testing: CBC and chemistries were normal. Troponin was slightly elevated at 0.09; it was repeated and was again 0.09.
ECG: performed at triage and is shown in Figure 1, above (please click to enlarge).
Questions -- What does the case image show? -- What should you do next?
Please click below for answers, discussion, case conclusion.
Answers
What does the ECG show/suggest? The ECG shows T inversion in the inferior leads. Here is an image also showing the precordial leads. Note that there is also T inversion throughout the precordium.
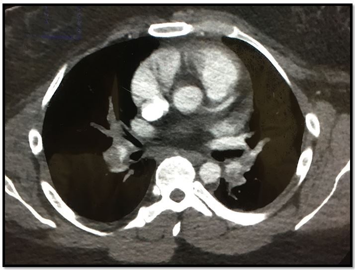
What should you do next? Order a CT chest to evaluate for PE. It was positive for multiple large PEs (see Figure 2, at right; please click to enlarge).
This patient was more at risk for PE than ACS so a D-dimer was also ordered, which was elevated. A CT angiograph showed multiple bilateral PEs. Although in some studies approximately 20% of painful PEs have nonpleuritic pain, that estimate is likely high. In my experience painless PEs are far more common than nonpleuritic PEs. Remember, larger or multiple PEs can cause a variety of findings that suggest ACS or CHF. These include “ischemic” ECG changes and elevations of BNP and/or troponin. Sometimes it’s not enough to diagnose chest pain and admit. Sometimes you need to know when to keep looking rather that prematurely “close the case.”
Discussion
Pulmonary embolism can cause a wide variety of ECG findings from normal to pulseless electrical activity, with a wide range of possibilities in between. The PE section of the image in Figure 3 above is organized in 2 ways, first by the ECG section and second by PE size. Categorizing ECG findings by PE size is the most clinically useful. The same applies to clinical symptoms. For this purpose PE can be divided into 3 clinical syndromes: Small, classic and Large.
Small PE syndrome occurs with small PEs that lodge distally in the pulmonary circulation. Clinically these may be silent or present as isolated peripheral lung infarcts with symptoms dominated by pleuritic pain, cough, and sometimes hemoptysis. The ECG is typically normal in this syndrome as are vital signs, lab work, and everything else except the D-dimer.
Classic PE syndrome has all of the symptoms, signs, and test results that you learned in medical school along with risk factors. Any medical student should be able to make the diagnosis, but unfortunately only a minority of cases present classically. ECG findings are more typical of large PE syndrome.
Large PE syndrome is likely to have one or more of a variety of ECG findings. Clinically patients present with dyspnea and/or near syncope. Chest pain is often absent because clots lodge proximally and so there is no lung infarct. Patients with the large PE syndrome often have abnormal vital signs with tachycardia the most likely and hypoxia and/or hypotension less common. Large PE syndrome may mimic ACS with elevations of troponin and BNP as a result of right heart strain. It can also mimic sepsis with hypotension, tachycardia and elevated WBC count.
Conclusion
Heparin was initiated and the patient was admitted. Half-dose tPA was considered, but the patient improved fairly rapidly with heparin, so tPA was deemed unnecessary.