Adult intussusception is a rare entity, accounting only for 1% to 5% of cases of bowel obstruction.
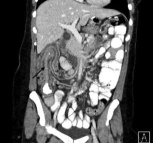
Figure 1 (click to enlarge)

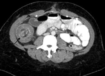
Figure 2 (click to enlarge)

A 30-year-old woman presented to the emergency department complaining of intermittent abdominal pain, nausea and vomiting, and passage of dark stool of several days’ duration. CT scan of abdomen and pelvis showed the terminal ileum “telescoping” through the ascending colon (Figure 1; Figure 2, arrows) confirming presence of ileocolic intussusception. A barium enema was attempted to reduce the intussusception but was only partially successful.
Surgery was subsequently performed to resect the terminal ileum and right colon. Intraoperatively the patient was found to have a luminal mass 2 cm in diameter located a few centimeters proximal to the intussusceptum (terminal ileum). Pathology of that mass showed a tubulovillous adenoma. The patient was discharged home without event after a week.
Discussion1,2
Adult intussusception is a rare entity, accounting only for 1% to 5% of cases of bowel obstruction. In contrast to intussusception seen in children, the adult lesion usually presents with indolent symptoms; it is less likely to be idiopathic in nature and is more frequently associated with a pathologic lead point or predisposing factor. In the small intestine, intussusception is mainly secondary to a benign etiology, including benign neoplasms, adhesions, Meckel’s diverticulum, lymphoid hyperplasia, celiac disease, presence of intestinal tubes, or following gastric surgery. Malignancy (most often metastatic) accounts for about 15% of cases in the small intestine, with melanoma being the most common metastatic tumor to cause intussusception.
Malignant etiology is more frequent in the large bowel (50% to 60%), with primary malignant lesions (adenocarcinoma and lymphoma) the most common underlying malignant lesions in the colon. Surgical resection is required in the majority of these patients.
CT scan has been reported to be the most useful test for the diagnosis and is able to distinguish the presence or absence of a lead point. Intussusception often is not considered in the differential diagnosis of vague abdominal complaints in adult patients. The diagnosis is most often made by the radiologist, since the CT features of intussusception are virtually pathognomonic.
References:
1. Marinis A, Yiallourou A, Samanides L, et al. Intussusception of the bowel in adults: a review. World J Gastroenterol. 2009;15:407-411.
2. Gayer G, Zissin R, Apter S, et al. Adult intussusception-a CT diagnosis. Br J Radiol. 2002;75:185-190.
FDA Approves Updated Indication Statement for Upadacitinib in Inflammatory Bowel Disease Treatment
October 14th 2025FDA approves updated indication for upadacitinib in ulcerative colitis and Crohn disease treatment, allowing use after one systemic therapy when TNF blockers are clinically inadvisable.
Clinical Tips for Using Antibiotics and Corticosteroids in IBD
January 5th 2013The goals of therapy for patients with inflammatory bowel disorder include inducing and maintaining a steroid-free remission, preventing and treating the complications of the disease, minimizing treatment toxicity, achieving mucosal healing, and enhancing quality of life.