Acute suppurative thyroiditis (AST) is a rare inflammatorycomplication in patients with hematological malignancy.Infection spreads to the thyroid from a distant site throughthe bloodstream or the lymphatics. Defects such as persistentthyroglossal duct and pyriform sinus fistula are associatedwith the development of AST. Ultrasonography, bariumswallow testing, CT, and fine-needle aspiration are usedfor diagnosis. Treatment includes the administration ofparenteral antibiotics, drainage, and excision. We describea patient with aplastic anemia and bacteremic AST.[Infect Med. 2008;25:339-342]
Acute suppurative thyroiditis (AST) is a rare inflammatory disease. The rarity of this disease can be attributed to several factors. The thyroid is well encapsulated, which may hinder the transmission of infection from surrounding tissue to the thyroid. In addition, a rich blood supply and lymphatic drainage within the thyroid may be protective against bacterial infection. Furthermore, high iodine levels within the thyroid gland may create an environment that is unfavorable to bacterial growth.1 Reports of AST are uncommon in patients who have hematological malignancy. Only 9 cases have been reported in the literature.2,3
A 27-year-old man presented to our hospital with symptoms of general weakness and fatigue. His blood test results were positive for anemia (hemoglobin level, 2.9 g/dL). A bone marrow biopsy specimen showed cellularity values of 0% to 10%, a range that is considered hypocellular for the patient's age; erythropoiesis, granulopoiesis, and megakaryocyte production were decreased. Aplastic anemia was diagnosed, and the patient was treated with a consecutive 5-day regimen of antithymoglobulin (ATG). At the start of chemotherapy, the absolute neutrophil count (ANC) was 1534/mL
Five days after the administration of ATG (day 1), sudden fever and sore throat developed. The patient's temperature was 39.9C (103.8F). Blood pressure was 110/70 mm Hg, with a pulse rate of 96 beats per minute. Symptoms of influenza were absent, but the patient complained of a sore throat and right-sided neck pain. No skin change or discoloration of the neck area was observed; however, swelling and tenderness of the neck developed.
The ANC was 252/mL. Athyroid function test revealed high free thyroxine levels (2.37 ng/dL; normal, 0.70 to 1.80 ng/dL), depressed thyroid- stimulating hormone levels (0.12 mIU/L; normal, 0.4 to 4.1 mIU/L), and normal total triiodothyronine levels (91 ng/dL; normal, 87 to 184 ng/dL). A blood culture was performed, and piperacillin and tobramycin were administered empirically.
Radiological examination revealed cystic lesions of the thyroid gland with decreased enhancement; a thyroid abscess was therefore suspected (day 3; Figure 1). No pyriform sinus fistula (PSF) was detected by laryngoscopy or CT. Because the blood culture grew methicillin-sensitive Staphylococcus aureus (MSSA), cefazolin was added to the therapeutic regimen. Despite this antibiotic therapy and ultrasonography-guided aspiration (day 6; Figures 2 and 3), the patient's condition did not improve. Surgery was performed to manage the thyroid abscess (day 8).

This neck CT scan shows a cystic lesion of the thyroid gland with decreased enhancement.

A sonogram at the time of aspiration indicates diffuse heterogeneous echogenecity in the lower right pole of the thyroid gland, including a multiseptated cystic portion.

A microscopic photograph of the aspiration specimen of the thyroid gland demonstrates the suspected abscess with numerous neutrophils and necrotic debris (hematoxylin-eosin stain, original magnification 400)
During surgery, necrotic tissue was discovered in the lower right pole of the thyroid gland. The left side of the gland was lesion-free. We performed necrosectomy of the friable necrotic tissue and drained yellow pus. Ultimately, a right subtotal thyroidectomy was performed (Figure 4). We irrigated the thyroid bed with normal saline solution and applied a Jackson-Pratt closed-suction drain. The volume of drainage decreased successively from 20 mL to 10 mL to 5 mL over the course of 3 days postoperatively, and the wound was clean. Thyroid tissue culture revealed MSSA, as did cultures of blood and aspirated mucus.

This photograph shows the friable necrotic tissue excised during a right subtotal thyroidectomy.
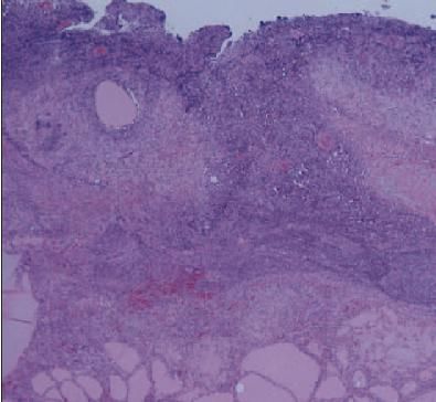
The pathology laboratory reported a chronic active inflammation with an abscess in the base of an adenomatous goiter (AG) (Figure 5).

A microscopic photograph of the thyroid gland specimen after right subtotal thyroidectomy demonstrates chronic active inflammation with abscess formation (hematoxylin-eosin stain, original magnification 40).
After the operation, the patient's fever persisted and he reported hip joint pain, which seemed to be caused by bacteremia. A chest CT scan revealed multiple nodules with cavitation in both lungs, which was associated with a ground-glass opacity in both upper lobes and minimal bilateral pleural effusion. These symptoms suggested septic pneumonia and superinfection with Pneumocystis jiroveci. Nafcillin, piperacillin/ tazobactam, and trimethoprim/ sulfamethoxazole were administered. When the patient's symptoms improved and the bacteremia resolved, the patient was discharged from the hospital on the 51st postoperative day.
Because of its rich blood supply, lymphatic drainage, abundant iodine, and protective fibrous capsule, the thyroid gland is very resistant to infection.
1
However, AST develops in several settings. One setting is when infection spreads from a distant site to the thyroid via the bloodstream or lymphatic system.
4
Also, AST may develop secondary to trauma and persistent thryoglossal duct and by direct extension of infection from a neighboring structure to the thyroid.
4
Preexisting thyroid disease, including AG, nodular goiter, Hashimoto thyroiditis, and thyroid cancer, can precede thyroid infection.
1,5
AG can be the indirect cause of a thyroid abscess.
In our patient, S aureus was isolated from blood and thyroid tissue cultures. Bacteremia was attributed to immunosuppression during chemotherapy with ATG. It is recommended that patients in whom fever develops following ATG administration be treated with broad-spectrum antibiotics.6 Also, some investigators have recommended that patients at high risk for infection should be given prophylactic antibiotic and antifungal therapy, although there is a concern that this strategy may aggravate emergence of antibiotic resistance. 6-10 Because of this caveat, our hospital does not use prophylactic antibiotic therapy in neutropenic patients during ATG chemotherapy.
AST is a rare complication of chemotherapy in hematological malignancy: Of the 9 cases reported in the literature, 5 were attributed to fungal infection (all associated with Candida species).2,3 Of the 4 cases attributed to bacterial infection, a causative bacterial pathogen was confirmed in only 1 case. Blood and tissue cultures yielded Salmonella.2
Numerous imaging methods, such as ultrasonography, barium swallow tests, and CT, are used to diagnose AST. Ultrasonography is thought to be an important method for diagnosing thyroid abnormalities. 11 PSF, in particular, is considered to be one of the most common underlying abnormalities in AST. Barium swallow is an essential diagnostic tool for confirming PSF.12 However, Bernard and colleagues11 have suggested that CT is extremely useful in diagnosing AST in its early phase, claiming that it provides more accurate mapping than ultrasonography. In our case, we used CT as the first-line imaging modality to evaluate the suspected thyroid abnormality and any other pathological cervical lesions. Because laryngoscopy and CT did not detect PSF and because bacteremia was the suspected cause of symptoms, we performed the operation before ingravescence.
Treatment should include administration of parenteral antibiotics, drainage of the abscess, and excision of the affected area. There is no significant difference in the course of disease or survival among patients treated with antibiotics, drainage, or a combination of both.5 Because the mortality rate of AST is 8.6%5 and because no improvement was seen after administration of antibiotic therapy and aspiration of exudates, surgical management was an appropriate decision in our case.
Few studies discuss the relationship between hematological malignancy and thyroid disease in long-term follow-up. Moskowitz and colleagues13 reported that autoimmune disorders such as Graves disease, Hashimoto thyroiditis, toxic multinodular goiter, and idiopathic hy-pothyroidism are closely associated with acute leukemia. Toubert and colleagues14 reported that hypothyroidism could occur after bone marrow transplant without total body irradiation. Therefore, follow-up thyroid function testing should be performed and hormonal therapy, if needed, should be administered.