For 2 weeks, a 52-year-old man had progressive fatigue and myalgias. On the morning of presentation, he could not walk. He took no medications but reported chronic, intermittent use of alcohol, intranasal cocaine, and marijuana. He had ingested alcohol 2 weeks earlier and had used cocaine 3 days earlier. Vital signs were normal. The patient had bilateral upper and lower extremity weakness. The proximal muscle groups were affected to a greater degree, with 2/5 strength in the shoulder and hip girdles bilaterally compared with 4/5 strength distally. He had significant difficulty in raising himself to a seated position and when attempting to stand. Results of a complete blood cell count and basic chemistry panel were normal. Serum creatine kinase (CK) was mildly elevated at 9030 U/L. Urinalysis showed 3+ blood, with coarse granular casts but no red blood cells.
For 2 weeks, a 52-year-old man had progressive fatigue and myalgias. On the morning of presentation, he could not walk. He took no medications but reported chronic, intermittent use of alcohol, intranasal cocaine, and marijuana. He had ingested alcohol 2 weeks earlier and had used cocaine 3 days earlier. Vital signs were normal. The patient had bilateral upper and lower extremity weakness. The proximal muscle groups were affected to a greater degree, with 2/5 strength in the shoulder and hip girdles bilaterally compared with 4/5 strength distally. He had significant difficulty in raising himself to a seated position and when attempting to stand. Results of a complete blood cell count and basic chemistry panel were normal. Serum creatine kinase (CK) was mildly elevated at 9030 U/L. Urinalysis showed 3+ blood, with coarse granular casts but no red blood cells.
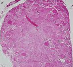
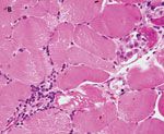
The patient was admitted with a diagnosis of acute rhabdomyolysis secondary to alcohol and cocaine use. He received vigorous intravenous hydration initially with normal saline and subsequently with bicarbonate-containing fluid. Despite these measures, CK values remained elevated at 8000 to 10,000 U/L, and there was little clinical improvement after a week. A surgical muscle biopsy revealed an inflammatory myopathy with eosinophilic degeneration, consistent with atrophy (A). There were focal areas of necrosis and a perifascicular distribution of mononuclear cells, including lymphocytes and rare polymorphonuclear cells (B). These findings were diagnostic of dermatomyositis.

Acute rhabdomyolysis is characterized by muscle necrosis and the release of toxic substances into the circulation. The causative mechanism may be traumatic or compressive muscle injury, excessive muscle activity, hereditary myopathies, drugs and toxins, electrolyte disturbances, or viral and bacterial infections. The mainstay of treatment is aggressive intravascular volume expansion. CK levels typically peak at 24 to 36 hours, then decrease by about 39% per day when the underlying insult to skeletal myocytes is removed.1
The elevated CK levels in this patient were initially attributed to cocaine and alcohol use but remained high despite the lack of exposure to either substance. Results of a serological workup, including thyroid function tests, Lyme serologies, influenza A and B rapid antigen assay, serum protein electrophoresis, Epstein-Barr virus serologies, and tests for HIV, hepatitis B, and hepatitis C, were all normal. The sedimentation rate was 71 mm/h, and the C-reactive protein level was elevated at 4.42 mg/dL. An antinuclear antibody test was positive (titer less than 1:40). Special stains on the muscle biopsy specimens confirmed a pattern consistent with dermatomyositis.

The inflammatory myopathies, polymyositis and dermatomyositis, are rare causes of rhabdomyolysis. While moderate CK elevation is nearly always present in these disorders, and myoglobin is often detectable in serum or urine, myoglobinuric renal failure from inflammatory myopathy is exceedingly rare.2 Although dermatomyositis and polymyositis share many clinical features, dermatomyositis is associated with several distinct skin manifestations (heliotrope rash, “V” sign, Gottron papules) and a higher incidence of malignancy. 3,4 Cutaneous manifestations may be transient and may have resolved by the time a patient presents with weakness.5 In retrospect, this patient did not recall having an unusual rash.
The patient was treated with prednisone (60 mg/d). CT scans of the chest, abdomen, and pelvis and measurement of serum prostate-specific antigen showed no evidence of an underlying malignancy. Stool was guaiac-negative. Within 2 weeks, his strength gradually increased, and the serum CK level fell to less than 1000 U/L. After aggressive physical therapy, he was able to ambulate with the assistance of a walker. He will receive ongoing rehabilitation and rheumatological follow-up.
Acknowledgment:
We are indebted to Saraswathi Nair, MD, of Norwalk Hospital, Norwalk, Conn, for help with the biopsy images.
REFERENCES:
1. Gabow PA, Kaehny WD, Kelleher SP. The spectrum of rhabdomyolysis. Medicine (Baltimore). 1982;61:141-152.
2. Allison RC, Bedsole DL. The other medical causes of rhabdomyolysis. Am J Med Sci. 2003;326:79-88.
3. Sigurgeirsson B, Lindelöf B, Edhag O, Allander E. Risk of cancer in patients with dermatomyositis or polymyositis: a population-based study. N Engl J Med. 1992;326:363-367.
4. Buchbinder R, Forbes A, Hall S, et al. Incidence of malignant disease in biopsy-proven inflammatory myopathy: a population-based cohort study. Ann Intern Med. 2001;134:1087-1095.
5. Dalakas MC, Hohlfeld R. Polymyositis and dermatomyositis. Lancet. 2003;362:971-982.