Right upper quadrant pain of 24 hours’ duration prompted a 20-year-old man with a history of gastritis to seek medical attention. The pain was sharp and nonradiating, with no alleviating or aggravating factors. The patient occasionally consumed alcohol and regularly smoked cigarettes (tobacco and marijuana). He denied nausea, vomiting, diarrhea, and diaphoresis. Right upper quadrant pain of 24 hours’ duration prompted a 20-year-old man with a history of gastritis to seek medical attention. The pain was sharp and nonradiating, with no alleviating or aggravating factors.

Click to Enlarge
Right upper quadrant pain of 24 hours’ duration prompted a 20-year-old man with a history of gastritis to seek medical attention. The pain was sharp and nonradiating, with no alleviating or aggravating factors. The patient occasionally consumed alcohol and regularly smoked cigarettes (tobacco and marijuana). He denied nausea, vomiting, diarrhea, and diaphoresis.
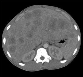
A CT scan of the abdomen (shown) revealed massive hepatomegaly with several solid lesions in the liver and a large mass in the pancreas. All abdominal organs, including the stomach, spleen, and kidneys, were compressed by the enlarged liver.
Serum tumor markers α1-fetoprotein and CA 19-9 were elevated (82.7 ng/mL and 41.4 U/mL, respectively). A CT-guided biopsy specimen from one of the liver lesions showed malignant cells suggestive of metastatic grade 2 (of 3) neuroendocrine carcinoma, consistent with pancreatic islet cell tumor. The patient was referred to a tertiary care center for further treatment. Acute pancreatitis occurs in about 3% of patients with pancreatic carcinoma.1 Pancreatic tumors arise from either the exocrine pancreas or the endocrine pancreas; the latter is rarer (up to 2% of cases).2 Neuroendocrine tumors are often found as “incidentalomas.” For the most part, imaging (increasingly with positron emission tomography) plays a key role in diagnosis and staging.3 In metastatic disease, the organs most frequently involved are the liver (70%) followed by bone and mediastinum.4
The most common neuroendocrine tumors of the pancreas are gastrinomas and insulinomas. Pancreatic islet cell tumors secrete a biologically active substance and result in a clinical syndrome in more than 80% of cases.5 In this patient, the vasoactive intestinal peptide level was 32 pg/mL; however, the gastrin level was 200 pg/mL, which might explain the previous diagnosis of gastritis. Gastrinomas account for about 20% of pancreatic islet cell tumors.5
Chemotherapy with streptozocin, 5-fluorouracil, and doxorubicin is used in metastatic neuroendocrine tumors. Surgical resection is indicated for focal disease. Given the age of this patient, liver transplant with lifelong follow-up for recurrence may be an option.
REFERENCES:1. Pandol SJ, Saluja AK, Imrie CW, Banks PA. Acute pancreatitis: bench to the bedside [published correction appears in Gastroenterology. 2007;133:1056]. Gastroenterology. 2007;132:1127-1151.
2. Frankel WL. Update on pancreatic endocrine tumors. Arch Pathol Lab Med. 2006;130:963-966.
3. Becherer A, Szabó M, Karanikas G, et al. Imaging of advanced neuroendocrine tumors with (18)F-FDOPA PET. J Nucl Med. 2004;45:1161-1167.
4. Stephen AE, Hodin RA. Neuroendocrine tumors of the pancreas, excluding gastrinoma. Surg Oncol Clin N Am. 2006;15:497-510.
5. Snow ND, Liddle RA. Neuroendocrine tumors. In: Rustigi AK, ed. Gastrointestinal Cancers: Biology, Diagnosis and Therapy. Philadelphia: Lippincott-Raven; 2005:585.
Obesity Linked to Faster Alzheimer Disease Progression in Longitudinal Blood Biomarker Analysis
December 2nd 2025Biomarker trajectories over 5 years in study participants with AD show steeper rises in pTau217, NfL, and amyloid burden among those with obesity, highlighting risk factor relevance.