Deep venous thrombosis as a complication of leiomyoma uteri is rare and only a few cases have been reported to date.
A 40-year-old obese woman with history of hypertension and uterine fibroids presented with acute onset of left lower extremity swelling and pain that began a day earlier. The pain mostly involved the left thigh and calf area. There was no tingling, numbness, or weakness of lower extremities. The patient denied recent surgery or trauma to the leg. She denied shortness of breath, palpitations, and chest pain. She did report progressive abdominal swelling over the past year. She had a history of menorrhagia for which she was taking norethindrone/ethinyl estradiol. She reported no family history of cancer, hypercoagulable state, or cardiovascular disease. She denied any history of cigarette smoking.
On physical examination, she appeared comfortable. Her height was 170 cm; weight, 117 kg; and BMI, 40.5. Vital signs were blood pressure, 136/75 mm Hg; temperature, 36°C (99.7°F); pulse rate, 84/min; respiratory rate, 18/min; and SPO2, 95% on room air.
Her lungs were clear and findings from the cardiovascular examination were normal. There was firmness noted in the abdomen, although her morbid obesity made it difficult to appreciate any defined mass. There was significant swelling of the left leg compared with the right, with marked erythema and tenderness around the medial thigh and calf area. There were no signs of trauma. There were palpable bilateral femoral, posterior tibial, and dorsalis pedis pulses. Findings of the neurologic assessment were within normal limits.
A Doppler ultrasound study of the left lower extremity showed extensive acute deep venous thrombosis (DVT) extending from the iliac through popliteal vein with clotting in the greater saphenous vein. Findings from a complete blood cell count and a comprehensive metabolic panel were within normal reference limits. Prothrombin and factor V genotype analysis showed no mutation, and findings from the balance of the coagulation and biochemical studies were also normal.
Because of her young age and presentation of acute-onset DVT with extensive clot burden, transcatheter thrombolysis was performed with successful removal of extensive clots in the popliteal, superficial femoral, femoral, and external iliac veins. Anticoagulation therapy was initiated with unfractionated heparin.
Figure 1

Residual thrombus (Figure 1) was noted in the origin of the left common iliac vein shortly after the procedure and required extensive catheter-directed infusion of tissue plasminogen activator. The following day additional mechanical thrombolysis was performed and the patient underwent post-procedure evaluation with intravascular ultrasound. A persistent round filling defect was noted at the inferior vena cava bifurcation with near complete occlusion of the right common iliac vein. There was progressive recurrence of thrombus in the left iliac venous system (Figure 2) and involvement of the right lower extremity, where a new clot was noted.

Figure 2

Figure 3
Because of the immediate recurrence of thrombosis in the context of normal coagulation parameters, a CT scan of the abdomen was ordered to evaluate possible mechanical causes or venous stasis.

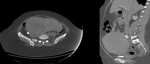
Figure 4
Abdominal CT demonstrated a large pelvic mass measuring 12.6 x 18.3 x 16.4 cm (Figure 3). The mass appeared to compress the IVC at the iliac bifurcation, exerting a mass effect on the right ureter that, in turn, resulted in right hydroureter with mild hydronephrosis (Figure 4).
An IVC filter was placed followed by exploratory laparotomy and total abdominal hysterectomy, including removal of a large fibroid tumor. Treatment with unfractionated heparin was continued. The patient’s platelet count dropped, however, to 37,000/μL (normal range, 140,000-450,000/ µL) and a platelet serotonin assay was positive for heparin-induced thrombocytopenia. Heparin was discontinued and bivalirudin was initiated. The patient was discharged with a therapeutic INR on oral warfarin for short-term anticoagulation.
On discharge, the oral contraceptive medication was discontinued and the patient was counseled on health maintenance issues, including weight reduction and exercise.
Discussion
DVT is a common and potentially devastating condition that can lead to permanent disability with significant morbidity and mortality. DVT and pulmonary embolism (PE) affect an estimated 350,000 to 600,000 Americans each year. Together, DVT and PE annually contribute to at least 100,000 deaths.1 The majority of patients with acute iliofemoral DVT have underlying anatomic abnormalities.2 The elements of the Virchow triad-hypercoagulability related to hematologic or neoplastic abnormalities; venous stasis due to extraluminal pressure from a tumor or inflammatory processes; and vessel injury-have all been implicated in the pathophysiology of IVC thrombosis.
In our patient, DVT was the result of venous stasis in the lower extremities that was secondary to compression of the IVC by the uterine fibroid tumor. Uterine leiomyomas are the most common tumors found in the female reproductive system and affect at least 30% of women aged 25 to 45 years.6 DVT as a complication of leiomyoma uteri is rare and only a few cases have been reported to date.7
Complications of DVT include recurrence, PE, and post-thrombotic syndrome (PTS). PTS occurs in 20% to 50% of patients within 1 to 2 years after DVT. The syndrome can lead to significant chronic symptoms (eg, heaviness, pain, and paresthesia) in the affected limb(s) that become worse with activity. Signs often found on physical examination include edema, hyperpigmentation, and venous ulcerations.3
Anticoagulation remains the standard treatment regimen in patients with acute DVT. The advent of low molecular weight heparins has allowed outpatient treatment of DVT, which is more cost-effective and reduces hospital stays.4 However, in more severe cases with extensive clot burden or in younger, more active patients, the risk of PTS and its complications remains high with anticoagulation alone. Catheter-directed thrombolysis, supported by adjunctive endovascular techniques and followed by outpatient management with anticoagulation is recommended in such instances. The role of thrombolytic therapy in the prevention of PTS in patients with acute DVT is currently being investigated in the Acute Venous Thrombosis: Thrombus Removal With Adjunctive Catheter Trials.
Placement of a temporary or permanent IVC filter before catheter-directed thrombolysis may benefit a patient at high risk for PE and is a stand-alone option for those with complications from or contraindications for anticoagulation therapy or thrombolysis.5 Myoma uteri complicated by DVT is an indication for hysterectomy.
References
1. US Department of Health and Human Services. Office of the Surgeon General. The Surgeon General's Call to Action to Prevent Deep Vein Thrombosis and Pulmonary Embolism. September 2008. Available at: http://www.surgeongeneral.gov/topics/deepvein. Accessed October 1, 2012.
2. Chung JW, Yoon CJ, Jung SI, et al. Acute iliofemoral deep vein thrombosis: evaluation of underlying anatomic abnormalities by spiral CT venography. J Vasc Interv Radiol. 2004;15:249-526.
3. Shbaklo H, Kahn SR. Long-term prognosis after deep venous thrombosis. Curr Opin Hematol. 2008;15:494-498.
4. Merli G.Anticoagulants in the treatment of deep vein thrombosis. Am J Med. 2005;118(suppl 8A):13S-20S.
5. Blum A, Roche E. Endovascular management of acute DVT. Am J Med. 2005;118(suppl 8A):31S-36S.
6. Matchar DB, Myers ER, Barber MW, et al. Evidence Report/Technology Assessment: Number 34. Management of Uterine Fibroids. Volume 1, Evidence Report. Rockville, Md: Agency for Healthcare Research and Quality; 2001. Publication 01-E051
7. Nishikawa H., Ideishi M., Nishimura T., et al. Deep venous thrombosis and pulmonary thromboembolism associated with a huge uterine myoma-a case report. Angiology. 2000;51:161-166. doi:10.1177/000331970005100210.