Acromegaly was diagnosed in a 36-year-old woman who presented with loss of vision in the right eye that had initially involved the peripheral field. Which statement about acromegaly is NOT true?
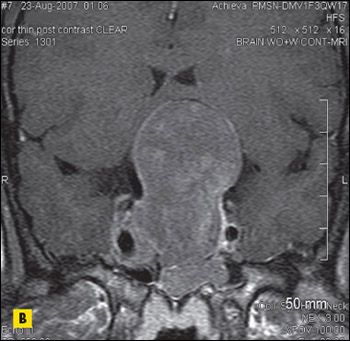
Acromegaly was diagnosed in a 36-year-old woman who presented with loss of vision in the right eye that had initially involved the peripheral field. MRI scans of the brain revealed a 6 × 6 × 4-cm sellar mass with suprasellar and parasellar extension encasing the right cavernous sinus and carotid artery.

Which statement about acromegaly is NOT true?