For 3 weeks, a previously healthy 24-year-old man had repeated episodes of nonbloody, nonbilious emesis. He denied dysphagia, but he did report a 40-lb (18-kg) weight loss and heartburn.
For 3 weeks, a previously healthy 24-year-old man had repeated episodes of nonbloody, nonbilious emesis. He denied dysphagia, but he did report a 40-lb (18-kg) weight loss and heartburn. Physical examination findings were normal and a complete blood cell count and metabolic profile were unremarkable.
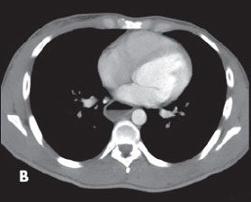
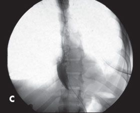
Esophagogastroduodenoscopy revealed a mildly dilated lower third of the esophagus (A). CT demonstrated a dilated esophagus (B). A barium swallow showed the classic “bird’s beak” appearance of the distal esophagus with proximal esophageal dilatation (C and D). A diagnosis of achalasia was made.


Achalasia, although rare, is a well-understood esophageal motility disorder. Its incidence is approximately 0.5 cases per 100,000 per year.1 Achalasia is characterized by degeneration of the myenteric plexus that supplies the esophageal sphincter, with resultant imbalance between excitatory and inhibitory neurons.2 Unopposed cholinergic stimulation leads to increased lower esophageal sphincter (LES) pressure.3 Dysphagia with solids and liquids is the most common initial symptom.2,4 Weight loss typically occurs late in the disease and usually does not exceed 11 to 22 lb (5 to 10 kg).2 Other symptoms include heartburn, regurgitation, difficulty with belching, and chest pain.2
The primary screening test for achalasia is barium esophagography. Manometric findings of elevated resting LES pressure, incomplete LES relaxation, and aperistalsis confirm the diagnosis.2 Because manometry is not readily available, however, the diagnosis is often confirmed by clinical presentation and suggestive radiographic and endoscopic findings. Optimal management should include manometry if possible, especially before therapy is initiated.


Treatment is aimed at reducing LES tone. If the patient has a low surgical risk, the treatment of choice is a laparoscopic Heller myotomy (with a partial fundoplication, either anterior or posterior), which is associated with greater symptom relief than endoscopic dilation.5,6 A surgeon with particular expertise in esophageal surgery can achieve a better outcome. Approximately 80% to 90% of patients report a diminution of symptoms from achalasia after myotomy.5 Unfortunately, a minority have persistent or recurrent dysphagia.5,6 If the patient is older but is still a good surgical candidate, endoscopic dilation can be performed. The down side is that dilation provides short-term relief, but symptoms recur within 4 years in about a third of patients who undergo this procedure.7 The results of the Heller myotomy are superior.8 Smooth muscle relaxants (ie, calcium channel blockers) are the least effective, and adverse effects limit their use.
This patient underwent laparoscopic Heller myotomy on hospital day 5 and had marked improvement in his symptoms. He is recovering from the profound weight loss.
REFERENCES:
1. Mayberry JF. Epidemiology and demographics of achalasia. Gastrointest Endosc Clin N Am. 2001;11:235-248, v.
2. Walzer N, Hirano I. Achalasia. Gastroenterol Clin North Am. 2008;37:807-825, viii.
3. Goyal RK, Hirano I. The enteric nervous system [published correction appears in N Engl J Med. 1996;335:215]. N Engl J Med. 1996;334:1106-1115.
4. Massey BT. Esophageal motor and sensory disorders: presentation, evaluation, and treatment. Gastroenterol Clin North Am. 2007;36:553-575, viii.
5. Campos GM, Vittinghoff E, Rabl C, et al. Endoscopic and surgical treatments for achalasia: a systematic review and meta-analysis. Ann Surg. 2009;249:45-57.
6. Yu L, Li J, Wang T, et al. Functional analysis of long-term outcome after Heller’s myotomy for achalasia. Dis Esophagus. 2010;23:277-283.
7. Hulselmans M, Vanuytsel T, Degreef T, et al. Long-term outcome of pneumatic dilation in the treatment of achalasia. Clin Gastroenterol Hepatol. 2010;8:30-35.
8. Kilic A, Schuchert MJ, Pennathur A, et al. Long-term outcomes of laparoscopic Heller myotomy for achalasia. Surgery. 2009;146:826-831.