The patient says the pain is worse with movement or coughing. He reports no nausea, vomiting, fever, diarrhea, or other complaints. What's your diagnosis?
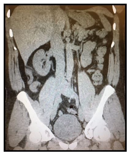
Abdominal CT

History. A 46-year-old man with no significant past medical history presents to the emergency department for 3 days of slowly progressive, constant, right-sided abdominal pain. He notes that the pain is worse with movement or coughing. He reports no nausea, vomiting fever, diarrhea, or other complaints.
Examination. Vital signs are normal except for a temperature of 99.2°F and respirations at 22 per minute. The abdomen is soft. The area of maximal pain indicated by the patient is also the area of maximal tenderness and is located midway between McBurney's and Murphy's points. There is no guarding or rebound. He also has mild right-sided costovertebral angle tenderness.
Initial Concerns: gallstone, kidney stone, appendicitis
Testing:
Questions

Clinical Tips for Using Antibiotics and Corticosteroids in IBD
January 5th 2013The goals of therapy for patients with inflammatory bowel disorder include inducing and maintaining a steroid-free remission, preventing and treating the complications of the disease, minimizing treatment toxicity, achieving mucosal healing, and enhancing quality of life.