A 34-year-old man with a history of HIV says family members are exaggerating his symptoms but that the headache and double vision are bothersome.
Figure 1. (Please click to enlarge)

Figure 2. Page shot (Please click to enlarge)

History: A 34-year-old man with a history of HIV and medical noncompliance is brought by his family to his primary care provider after 2 weeks of generalized weakness, mild headache, wobbly gait, and intermittent confusion. The patient states that his family is exaggerating and he feels fine except for a headache and intermittent double vision. He states that the headache goes away with Tylenol but keeps coming back. He also noticed that the double vision seems to be triggered by looking to the right. He denies any vomiting, fever, falls, or other complaints.
Examination: The patient is alert and oriented. He has binocular diplopia when looking to the right only, but it resolves if either eye is kept closed. He cannot move his eyes upward. The other cranial nerves are intact. He has no focal weakness or numbness. His gait is wide based. The rest of his exam is essentially normal.
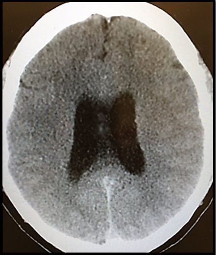
Testing: His head CT scan is shown in Figure 1 at right (Click on image to enlarge)
QuestionsWhat does the case image show? What is the most likely diagnosis?
Where can I get a quick refresher on this topic?
Please click “next” for answers and discussion.
Answers
What does the case image show? Dilated bilateral lateral ventricles from hydrocephalus.
What is the most likely cause? In a patient with HIV, toxoplasmosis and lymphoma would be the two most likely conditions.
Where can I get a quick refresher on this topic? See page shot in Figure 2 at right (Click on Page Shot to enlarge)
Discussion
The classic triad for the clinical presentation of hydrocephalus is weird, wet and wobbly, the three Ws. The weird is for dementia, the wet for urinary incontinence, and the wobbly for ataxia. Other symptoms may include headache, vomiting, and changes in vision including diploplia. The physical exam may be notable for nystagmus, cranial nerve 6 palsy, limited upward gaze, and ataxia. Later findings may include loss of vision, which may be permanent, lethargy, brain herniation, and even death.
Initial testing should include a head CT, which is about 70% sensitive overall. In patients who already have a ventriculo-peritoneal (VP) shunt, CT may be falsely negative so the shunt should be tapped to measure the pressure if clinical suspicion for hydrocephalus is high despite a normal head CT. See the highlighted are of the page shot to the right for more information, but be aware that a lot of the information is targeted towards patient who already have a VP shunt.
Treatment of hydrocephalus often, but not always, requires placement of a VP shunt, but the primary cause should also be determined and treated. In a patient with HIV, especially when T cell counts are low, toxoplasmosis and lymphoma are the most likely causes of hydrocephalus. Empiric treatment is often started but the final diagnosis relies on serology and sometimes biopsy.
Common Side Effects of Antiretroviral Therapy in HIV Infection
February 7th 2013What are some of the more common side effects of antiretroviral therapy, and what can the primary care physician do to help manage these effects? In this podcast, infectious disease expert Rodger MacArthur, MD, offers insights and points readers to updated comprehensive guidelines.