The 62-year-old describes lower abdominal “pressure” and using 2 pads/day; she reports a recent UTI. Review lab results and CT scan. What’s your diagnosis?
©dusanpetkovic1/adobe.stock.com

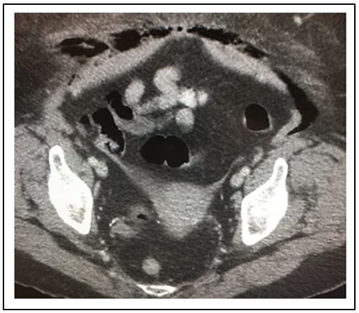
Figure 1. CT scan pelvis (Please click to enlarge; use back arrow to return to case)

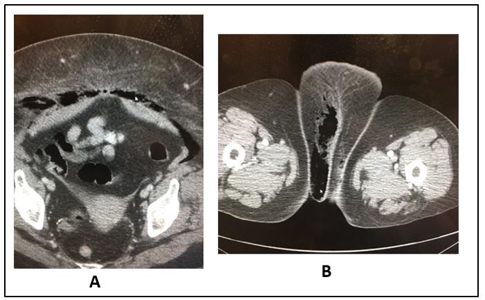
Figure 2. CT scan pelvis (A); lower cut same scan (B)

Figure 3. Fournier's gangrene from the Emergency Medicine One-Minute Consult pocketbook

Presenting history
A 62-year-old woman with diabetes comes to the emergency department for post-menopausal vaginal bleeding, about 2 pads/day, and lower abdominal “pressure.” She denies vomiting, fever, diarrhea, or other symptoms. She recently had a UTI and is still on Bactrim but takes does not take anticoagulants.
Vital signs and physical examination
She has a large panniculus that appears a bit pink. The mons pubis appears to be slightly swollen but her body habitus makes it difficult to be certain. The right labia majora is noted to have a small ulcer, which is oozing blood.
Initial concerns: Malignancy, infection
Relevant test results
Questions
Click here for: Answers, discussion
Answers What does the CT scan show: The CT shows an atrophic uterus with gas (black) tracking just behind the abdominal wall extending over the rectus sheath (Figure 1; Figure 2A). A lower cut (Figure 2B) shows gas tracking into the labia majora on the right (click on Figures to enlarge).
What is the likely cause? This is consistent with Fournier’s gangrene.
Discussion
Fournier’s gangrene, like other forms of gangrene, is an aggressive necrotizing deep soft tissue infection. It is located in the perineal area and is typically polymicrobial, often including a combination of group A strep, anaerobes, and gram negative organisms. Any perineal skin or soft tissue infection should be suspect, but classic signs include severe pain out of proportion to surface findings, bronze or violet edema, palpable crepitance and/or bullae or oozing of fluid or blood.
Risk factors include any form of immune suppression or recent invasive procedures, including bladder catheterization.
Laboratory results may show leukocytosis, which can be severe, bandemia, and/or white cell morphology with toxic granulation or Dohle bodies. Results of chemistry panel may show metabolic acidosis and/or renal insufficiency and often hyponatremia. Imaging may only show swelling early on but soft tissue gas is pathognomonic.
Treatment of Fournier’s gangrene includes early broad-spectrum antibiotics, often triple therapy with Zosyn, vancomycin, and clindamycin, as well as early surgical debridement. Surgical debridement is often life-saving. For more details, click on sample page in Figure 3 above to enlarge, then focus on highlighted area.
For additional information, please see full excerpt on Fournier's gangrene from The Emergency Medicine 1-Minute Consult pocketbook.
___________________________________________________
Dr Pregerson is an emergency medicine physician at Cedars-Sinai Medical Center in Los Angeles, California. Follow him on Twitter: @EM1MinuteGuru