Alpine skiing, snowboarding, bobsledding, ice hockey … the ongoing Winter Olympics in Sochi serve as a cold reminder that injuries plague athletes around the world. Test your knowledge of common sports injuries here.

Question 1:
Knee injuries are the most common injury seen in skiing, and the incidence of anterior cruciate ligament (ACL) injuries is particularly high among competitive alpine skiers. A 3-dimensional CT scan shows a nonanatomical single-bundle AL reconstruction and demonstrates a posterolateral tibial tunnel and a “high” anteromedial femoral tunnel.
NEXT QUESTION »
For the discussion, click here.

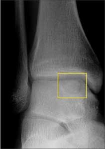
Question 2:
An increase in talus fractures among snowboarders might be related to the use of a soft boot that does not adequately protect the ankle during crashes. Fractures of the talar dome primarily occur on the posterolateral or anteromedial aspect. Often the fracture is not visible on radiographs. It is important to distinguish a talar dome fracture from other ankle problems.
NEXT QUESTION »
For the discussion, click here.

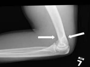
Question 3:
FOOSH (fall on outstretched hand) injury often results from slipping on ice, as well as skiing and snowboarding. Here a 27-year-old man presented a day after sustaining a FOOSH injury while roller skating. He complained of pain when pronating and supinating his left arm, but there were no limitations in range of motion. A lateral plain x-ray film shows an anterior and posterior fat pad sign on the left elbow. A second image of a posteroanterior view also revealed a slight hematoma positioned medially and just inferior to the radial head.
NEXT QUESTION »
For the discussion, click here.
For the answer, click here.

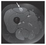
Question 4:
Quadriceps muscle strains frequently occur in sports that require repetitive kicking and sprinting. An axial MRI view of a rectus femoris central tendon injury shows fluid enhancement around the central tendon, the acute bull’s-eye lesion (arrow).
NEXT QUESTION »
For the discussion, click here.

Question 5:
Isolated axillary neuropathy occurs in overhead and other sports. An elite high school pitcher with axillary nerve injury had significant atrophy of the left deltoid and mild atrophy in the teres minor area. His neck was supple, with full range of motion and no pain or stiffness. His reflexes were symmetrical. He had slightly decreased sensation over the lateral aspect of his left deltoid.
ANSWER KEY »
For the discussion, click here.
ANSWER KEY:
Question 1. E
Question 2. A
Question 3. D
Question 4. D
Question 5. C