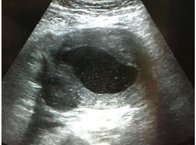
A woman in her 40s is seen in the ED for severe, recurrent pelvic pain. She is s/p endometrial ablation 8 months ago. What does the ultrasound show?
Patient history. A woman in her 40s presents to the emergency department (ED) in severe distress screaming and moaning with pelvic pain. She states that she had endometrial ablation about 8 months ago and since then has had recurrent visits to the ED for pelvic pain. She has had subjective fevers and nausea at times but is experiencing neither currently.
She says that the pain is worse today than it has ever been. In the past symptoms were attributed to a degenerating fibroid. She denies any bleeding since the procedure, vomiting, or other complaints.
Vital signs. Vital signs are normal except for a pulse of 112 beats/min and a BP of 166/98 mm Hg.
Physical examination. Physical exam is normal except for moaning/screaming in pain and a very tender suprapubic area.
Initial differential diagnosis
Initial Diagnostic Testing:

Hematometrium fromThe Emergency Medicine 1-Minute Consult Pocketbook
