A 61-year-old man with arthritis and an 80-pack-year smoking history presented with fever, dyspnea, and productive cough of a week’s duration that did not respond to outpatient treatment with levofloxacin.
A 61-year-old man with arthritis and an 80-pack-year smoking history presented with fever, dyspnea, and productive cough of a week’s duration that did not respond to outpatient treatment with levofloxacin. He also had worsening arthralgias in both lower extremities, particularly in his knees and ankles, accompanied by a 10-lb weight loss over the 2 months before presentation. Physical examination findings included digital clubbing and decreased breath sounds on the right side with scattered fine rales.

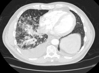
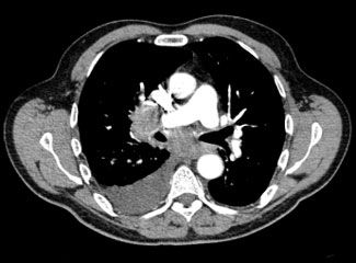
The patient was admitted with the diagnosis of right lower lobe (RLL) pneumonia on the basis of RLL consolidation on his radiograph. He was treated with intravenous ceftriaxone and azithromycin. However, there was no improvement in his symptoms despite treatment with the antibiotics; therefore, a CT scan of the chest was obtained. It revealed emphysema and mediastinal lymphadenopathy in the pretracheal and subcarinal locations (Figure 1). A moderate right-sided pleural effusion and multiple nodular opacities (measuring less than 1 cm) in right middle and lower lobes with septal thickening were noted, suggesting a lymphangitic tumor (Figure 2).

The patient underwent mediastinoscopy and lymph node biopsy, which confirmed poorly differentiated non–small-cell lung cancer. Thoracentesis with aspiration of the effusion also confirmed malignancy. Meanwhile, a rheumatology consultation was sought for his leg pain. There was no clinical evidence of synovitis or effusion in any of his joints, although there was evidence of mild arthritis in the knees with suprapatellar enthesopathy on knee and ankle radiographs. He had minimal relief with NSAIDs. Opiates and gabapentin were added for pain relief.
Laboratory findings were significant for an elevated erythrocyte sedimentation rate (ESR) and C-reactive protein level. Results of serological tests for rheumatoid factor, antinuclear antibody, and antineutrophil cytoplasmic antibodies were negative; levels of serum complements were normal.
Chemotherapy with cisplatin and etoposide was started, and the patient had some improvement in his arthralgic symptoms.
Answer:
What is causing this patient’s nonresolving pneumonia and arthralgias? The patient underwent bone scintigraphy, which showed no metastatic disease but irregular uptake in both tibias and fibulas with evidence of arthritis in major joints (Figure 3). This led to the diagnosis of hypertrophic pulmonary osteoarthropathy (HPOA).

DISCUSSION
Hypertrophic osteoarthropathy (HOA) syndrome is a condition characterized by proliferative periostitis of the long bones, especially in the distal and periarticular aspects. It may cause proliferation of the synovial membranes, leading to painful and swollen joints; it is often accompanied with finger clubbing.1,2 Clubbing was first described by Hippocrates in the fifth century bc2; however, it was not until 1889 and 1890, when Bamberger and colleagues3 and Marie,4 respectively, recognized the association of clubbing, arthralgia, and ossifying periostitis as a distinct clinical syndrome. Hence, HOA is also known as the Pierre Marie Bamberger syndrome.
The syndrome is classified as either primary or secondary HOA. Primary HOA is not associated with any other medical disorders. However, secondary HOA, or hypertrophic pulmonary osteoarthropathy (HPOA), which is more common, is usually associated with lung cancer, tuberculosis, pulmonary abscess, bronchiectasis, emphysema, cystic fibrosis, interstitial lung disease, right-to-left cardiac shunts, and less often, disorders such as Hodgkin lymphoma and cirrhosis).1,5,6 Primary, or idiopathic, HOA (also called pachydermoperiostosis and Touraine-Solente-Gole syndrome), on the other hand, is a hereditary disorder that presents in childhood and clinically mimics secondary HOA. The genetic abnormality involves a mutation in the HPGD gene that encodes 15-hydroxyprostaglandin dehydrogenase, which is the primary enzyme responsible for prostaglandin degradation.7
The incidence of clinically apparent HPOA in patients with lung cancer, either primary or metastatic, is approximately 4% to 5%. About 80% of pulmonary lesions associated with HPOA are lung cancers, pleural tumors account for 10% of the lesions, and miscellaneous intrathoracic malignancies account for 5%.8 Among patients with lung cancer, HPOA is associated with all cell types-adenocarcinoma is most frequently seen, and small-cell carcinoma is least frequently seen.1
The etiology of HPOA is still poorly understood. Opinions are divided between neurogenic and humoral mechanisms. Clubbing and HPOA appear to be different manifestations of the same disease process.9 It is thought that localized activation of platelets-endothelial cells, with the subsequent release of fibroblast growth factors (eg, platelet-derived growth factor [PDGF]), plays an important role in the pathogenesis of HPOA. The frequent association with lung disease raises the possibility that circulatory bypass of the lung may be responsible. One hypothesis is that megakaryocytes escape the normal fragmentation to platelets in the lung and reach the distal extremities, where they release growth factors.10,11
Another hypothesis involves tumor production and release into the circulation of factors such as vascular endothelial growth factor (VEGF) that promote features of HPOA, such as vascular proliferation, edema formation, and new bone formation. Two case reports of patients with lung cancer and HPOA noted elevated circulating concentrations of VEGF. In one case, a marked decline in VEGF levels followed resection of the tumor and was temporally correlated with the disappearance of the skeletal abnormalities.12 Elevated levels of PDGF, endothelin 1, β-thromboglobulin, and VEGF have been reported in patients with HPOA.
Estrogen and growth hormone (GH) produced by pulmonary tumors have also been implicated occasionally. There have been case reports of high levels of GH that returned to normal after resection of the tumor, with relief of clinical symptoms.8 The central abnormality in primary HOA is elevations in circulating prostaglandin E2, which may play a pathogenetic role in HPOA as well.7
MAKING THE DIAGNOSISClinical features
The clinical features of HPOA include digital clubbing and periostitis or periosteal new bone formation in tubular bones, particularly the long bones of the distal extremities. Periostitis causes severe burning pain in the distal extremities, aggravated by dependency and weight bearing, and it is usually accompanied by tenderness to palpation of the involved area. Some patients present with painful, symmetric, arthritis-like changes in the large joints and periarticular tissues (ankles, knees, wrists, metacarpophalangeal joints, and elbows).13 Laboratory findings often reveal an elevated ESR (greater than 50 mm/h) and, in advanced cases, an elevated alkaline phosphatase level.13
HPOA mimics rheumatoid arthritis clinically; however, synovial fluid has been reported to be typically noninflammatory, with leukocyte counts of less than 500/µL. The synovial membrane shows vascular congestion with mild lymphocytic infiltration.13 Increased thickness of the subcutaneous soft tissues may be noted in the distal one-third of the arms and legs and sometimes of the facial tissues, which may simulate acromegaly. Also, there may be neurovascular changes in the hands and feet, such as chronic erythema, paresthesia, and increased sweating. In primary HOA, bone and joint pain tends to be less severe than in rheumatoid arthritis, and the furrowing of the face and scalp tends to be more severe.7
When HPOA is suspected, attention should be given to findings from the chest examination, because the most frequent cause of acute-onset HPOA is a lung neoplasm, either primary or secondary. In a third of patients with lung cancer, clinical HPOA predates the onset of respiratory symptoms; in another third, patients present with respiratory symptoms simultaneously; and in the remaining patients, HPOA may appear after the diagnosis of malignancy is established.1 Removal of lung neoplasm or treatment of the other causes of HPOA results in regression of the clinical manifestations.1
Imaging
Radionuclide scanning is more sensitive than radiography in the detection of HPOA. Findings on a radionuclide scan can range from an increased “bracelet-like” appearance to more diffuse, symmetrically increased uptake along the cortical margins of the diaphyses of the long, tubular bones, sometimes referred to as the “parallel tract” or “double stripe sign.”14 Although uncommon, there may be asymmetric and irregular involvement of the long bones (as seen in the case described here). Increased uptake in the distal phalanges is associated with marked clubbing. HPOA usually involves the peripheral skeleton, but it can also affect the skull, clavicles, ribs, and scapulas.14 The disease typically is more active in the lower extremities than in the upper extremities, and the long bones distal to the knees and elbows are usually more affected than the bones proximal to these joints.
These scintigraphic abnormalities found in the peripheral skeleton are not easily mistaken for diffuse skeletal metastasis. Metastatic tumor almost always involves the central skeleton in an irregular, focal, asymmetric pattern. When long bones are involved, it is the medullary cavity that is primarily affected, as opposed to the cortical involvement seen in HPOA.14,15 After appropriate therapy, the abnormalities seen on radiographic and radionuclide images may diminish or even disappear.
TREATMENT
Removal of lung neoplasm or treatment of the other causes of HPOA results in regression of the clinical manifestations.1 However, in many patients, the associated pain can be disabling and conventional analgesic medications are often not effective. A single 4-mg dose of zoledronic acid has been used effectively to alleviate the symptoms.16 In refractory cases, subcutaneous octreotide may be tried to relieve symptoms.17
CONCLUSION
HPOA should be considered in the differential diagnosis of bone and joint pains in patients with cancer, in addition to bone metastasis and inflammatory arthritides. It is important for the clinician to be aware of the clinical entity of HPOA and the radiographic finding of periostitis. This may lead to early detection of lung cancer in patients without significant pulmonary symptoms and therefore may avoid tumor progression and distant metastases.
REFERENCES1. Stenseth JH, Clagett OT, Woolner LB. Hypertrophic pulmonary osteoarthropathy. Dis Chest. 1967;52:62-68. doi:10.1378/chest.52.1.62.
2. Hsieh CC, Yang RS, Huang KY. Incidental solitary knee mass as the first manifestation of hidden lung cancer. Knee. 2008;16:161-164.
3. Bamberger E. A case report [in German]. Wien Klin Wochenschr. 1889;2:226-230.
4. Marie P. De l'osteo arthropathie hypertrophiante pneumonique. Rev Med Paris. 1890;10:1-36.
5. Dickinson CJ. The aetiology of clubbing and hypertrophic osteoarthropathy. Eur J Clin Invest. 1993;23:330-338.
6. Galko B, Grossman RF, Day A, et al. Hypertrophic pulmonary osteoarthropathy in four patients with interstitial pulmonary disease. Chest. 1985;88:94-97. doi:10.1378/88.1.94.
7. Uppal S, Diggle CP, Carr IM, et al. Mutations in 15-hydroxyprostaglandin dehydrogenase cause primary hypertrophic osteoarthropathy [published correction appears in Nat Genet. 2008;40:927]. Nat Genet. 2008;40:789-793.
8. Mito K, Maruyama R, Uenishi Y, et al. Hypertrophic pulmonary osteoarthropathy associated with non-small cell lung cancer demonstrated growth hormone-releasing hormone by immunohistochemical analysis. Intern Med. 2001;40:532-535.
9. Martnez-Lavn M. Digital clubbing and hypertrophic osteoarthropathy: a unifying hypothesis. J Rheumatol. 1987;14:6-8.
10. Abe Y, Kurita S, Ohkubo Y, et al. A case of pulmonary adenocarcinoma associated with hypertrophic osteoarthropathy due to vascular endothelial growth factor. Anticancer Res. 2002;22:3485-3488.
11. Pedersen NT. Occurrence of megakaryocytes in various vessels and their retention in the pulmonary capillaries in man. Scand J Haematol. 1978;21:369-375.
12. Oln F, Portela M, Navarro C, et al. Circulating vascular endothelial growth factor concentrations in a case of pulmonary hypertrophic osteoarthropathy. Correlation with disease activity. J Rheumatol. 2004;31:614-616.
13. Butler RC, Thompson JM, Keat AC. Paraneoplastic rheumatic disorders: a review. J R Soc Med. 1987;80:168-172.
14. Ali A, Tetalman MR, Fordham EW, et al. Distribution of hypertrophic pulmonary osteoarthropathy. AJR. 1980;134:771-780.
15. Buckley O, O'Keeffe S, Geoghegan T, et al. 99mTc bone scintigraphy superscans: a review. Nucl Med Commun. 2007;28:521-527. doi:10.1097/MNM.0b013e3281744440.
16. King MM, Nelson DA. Hypertrophic osteoarthropathy effectively treated with zoledronic acid. Clin Lung Cancer. 2008;9:179-182.
17. Johnson SA, Spiller PA, Faull CM. Treatment of resistant pain in hypertrophic pulmonary osteoarthropathy with subcutaneous octreotide. Thorax. 1997;52:298-299.
REFERENCES1. Stenseth JH, Clagett OT, Woolner LB. Hypertrophic pulmonary osteoarthropathy. Dis Chest. 1967;52:62-68. doi:10.1378/chest.52.1.62.
2. Hsieh CC, Yang RS, Huang KY. Incidental solitary knee mass as the first manifestation of hidden lung cancer. Knee. 2008;16:161-164.
3. Bamberger E. A case report [in German]. Wien Klin Wochenschr. 1889;2:226-230.
4. Marie P. De l'osteo arthropathie hypertrophiante pneumonique. Rev Med Paris. 1890;10:1-36.
5. Dickinson CJ. The aetiology of clubbing and hypertrophic osteoarthropathy. Eur J Clin Invest. 1993;23:330-338.
6. Galko B, Grossman RF, Day A, et al. Hypertrophic pulmonary osteoarthropathy in four patients with interstitial pulmonary disease. Chest. 1985;88:94-97. doi:10.1378/88.1.94.
7. Uppal S, Diggle CP, Carr IM, et al. Mutations in 15-hydroxyprostaglandin dehydrogenase cause primary hypertrophic osteoarthropathy [published correction appears in Nat Genet. 2008;40:927]. Nat Genet. 2008;40:789-793.
8. Mito K, Maruyama R, Uenishi Y, et al. Hypertrophic pulmonary osteoarthropathy associated with non-small cell lung cancer demonstrated growth hormone-releasing hormone by immunohistochemical analysis. Intern Med. 2001;40:532-535.
9. MartÃnez-LavÃn M. Digital clubbing and hypertrophic osteoarthropathy: a unifying hypothesis. J Rheumatol. 1987;14:6-8.
10. Abe Y, Kurita S, Ohkubo Y, et al. A case of pulmonary adenocarcinoma associated with hypertrophic osteoarthropathy due to vascular endothelial growth factor. Anticancer Res. 2002;22:3485-3488.
11. Pedersen NT. Occurrence of megakaryocytes in various vessels and their retention in the pulmonary capillaries in man. Scand J Haematol. 1978;21:369-375.
12. Olán F, Portela M, Navarro C, et al. Circulating vascular endothelial growth factor concentrations in a case of pulmonary hypertrophic osteoarthropathy. Correlation with disease activity. J Rheumatol. 2004;31:614-616.
13. Butler RC, Thompson JM, Keat AC. Paraneoplastic rheumatic disorders: a review. J R Soc Med. 1987;80:168-172.
14. Ali A, Tetalman MR, Fordham EW, et al. Distribution of hypertrophic pulmonary osteoarthropathy. AJR. 1980;134:771-780.
15. Buckley O, O'Keeffe S, Geoghegan T, et al. 99mTc bone scintigraphy superscans: a review. Nucl Med Commun. 2007;28:521-527. doi:10.1097/MNM.0b013e3281744440.
16. King MM, Nelson DA. Hypertrophic osteoarthropathy effectively treated with zoledronic acid. Clin Lung Cancer. 2008;9:179-182.
17. Johnson SA, Spiller PA, Faull CM. Treatment of resistant pain in hypertrophic pulmonary osteoarthropathy with subcutaneous octreotide. Thorax. 1997;52:298-299.