Mycobacterium goodii infection is uncommon and probablyoccurs via disruption of skin and bone integrity or theintroduction of a foreign body into viscera, namely implantationof a prosthetic device. We describe a case of nosocomial,total knee arthroplasty–associated M goodii infection thatrequired combined antibiotic and surgical therapy for clinicalmanagement. An infection control investigation revealed thatthe source of the organism might have been the water in theoperating room scrub faucets. [Infect Med. 2008;25:522-525]
Mycobacterium goodii was first characterized in 1999 as biochemically distinct but closely related to the rapidly growing Mycobacterium smegmatis.1 Although the environmental sources of M goodii are not known, those of M smegmatis are known to be water and hospital dust.2 Clinical cases are rare. We report the first case of a nosocomial M goodii infection in Michigan. The nosocomial nature of this pathogen is explored by examining all previously identified case reports.
Case report
A63-year-old woman with type 2 diabetes mellitus and morbid obesity underwent elective right total knee arthroplasty for degenerative osteoarthritis at a small, rural Michigan hospital that performs approximately 4 total joint replacements a year by a single surgeon. Wound healing was rapid and complete. Five months later, the patient presented with a 2- week history of erythema, warmth, and dehiscence of the skin overlying her right knee. She recalled no trauma or soil contact to the knee. In the outpatient clinic, a right knee arthrocentesis through unaffected skin was performed, and the patient was hospitalized to receive intravenous vancomycin and nafcillin for treatment of overlying cellulitis.
The patient's laboratory workup was remarkable for a C-reactive protein level of 16.68 mg/dL and an erythrocyte sedimentation rate of 31 mm/h. The white blood cell count and differential were normal. A CT scan of the right knee revealed a low density soft tissue mass anterior to the tibial tuberosity, with the bone at this level demonstrating mild irregularity (Figure 1). Triple-phase, technetium- 99m bone scanning showed intense delayed uptake in the right patella and tibia (Figure 2). The cellulitis was treated with vancomycin and nafcillin until culture results were negative for bacteria.

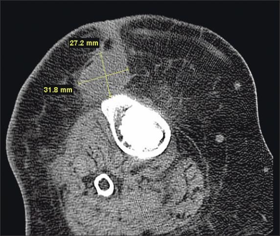
Figure 1 -
A CT scan of the right knee demonstrates a low-density soft tissue mass anterior to the tibial tuberosity. The bone demonstrates mild irregularity.

Figure 2 -
Triple-phase, technetium-99m bone scans show intense delayed uptake in the right patella and tibia.
During her hospital stay, an infectious diseases (ID) consultation was requested. Because the orthopedic service had only requested bacterial cultures, the ID consultant requested that mycobacterial and fungal stains and cultures also be performed on the fluid aspirated from the knee. Nafcillin was discontinued, but vancomycin was continued. Five days after hospital admission, the culture results were negative for bacteria and the overlying cellulitis had nearly resolved; therefore, the patient was discharged without antibiotics. However, the next day, a rapidly growing Mycobacterium was isolated from the arthrocentesis fluid. The culture was nonpigmented, but after a week of growth in darkness at 37C (98.6F), it demonstrated a yellow pigment. To obtain a species-level identification and extended-panel sensitivities, the organism was sent to the National Jewish Medical and Research Center in Denver.
Several weeks passed before species confirmation was made. In the meantime, empirical therapy that consisted of oral moxifloxacin 400 mg daily and clarithromycin 500 mg bid was started. Four days after initiation of this therapy, an MRI scan of the right lower leg with and without gadolinium showed a fluid collection but no definite osteomyelitis. By the following week, culture results from the fluid collection were negative for bacteria, mycobacteria, and fungi.
Because of continued abscess formation, however, the patient underwent open arthrotomy and complete synovectomy a month after she began antibiotic therapy. No significant mechanical loosening was noted. The results of culture and staining of tissue samples taken during surgery were negative for bacteria, fungi, and mycobacteria. About 2 weeks later, a serous fluid was aspirated from the lateral right knee. Again, culture and stain results for bacteria, fungi, and mycobacteria were negative.
The organism ultimately was identified as M goodii. Because of the results of drug susceptibility testing, clarithromycin was discontinued, doxycycline 100 mg bid was initiated, and moxifloxacin was continued. The patient continued to receive moxifloxacin 400 mg daily and doxycycline 100 mg bid as suppressive therapy for 9 months, then treatment with doxycycline alone was maintained for the life of the retained prosthesis, which was fully functional and asymptomatic at the time of this report.
DiscussionM goodii is a rapidly growing mycobacterium found in soil and water. It shows growth on Middlebrook 7H10 agar and trypticase soy agar at 30C, 35C, and 45C within 2 to 4 days. Cultures demonstrate smooth to mucoid, off-white to creamcolored colonies. Yellow to orange pigment is produced in 78% of all strains after 10 to 14 days' incubation. When the organism was originally called M smegmatis strain 2 or Mycobacterium wolinskyi, Brown and colleagues1 sequenced its DNA and demonstrated species-level differences. Brown and colleagues' original strains showed susceptibility to amikacin, ethambutol, and sulfamethoxazole.
The clinical spectrum of disease includes skin and soft tissue infection from penetrating trauma, respiratory disease associated with lipoid pneumonia or achalasia and, notably, an association with surgically implanted devices.2
Nosocomially associated cases are a recent clinical theme in the literature. In a case of M goodii bursitis, Friedman and Sexton3 theorized that M goodii was introduced into the bursal sac "during intrabursal injections or during subsequent surgery." In another case, M goodii was associated with an infected prosthetic inguinal hernia repair mesh, which was removed to achieve a cure.4 Nosocomially associated M goodii infection in a total hip arthroplasty, a hernia patch, and a total knee replacement also have been reported, although the Epidemic Intelligence Service of the CDC failed to find a conclusive mechanism of surgical contamination for any of these cases.2
In addition to reported cases of post-breast reduction surgery, soft tissue infection, and intravascular catheter-associated sepsis,1 a ventriculoperitoneal shunt was nosocomially infected; its removal and prolonged antibiotic treatment were required to achieve a cure.5M goodii has also been implicated in an infection of an intraocular lens implant6 and of a pacemaker lead7; these cases required removal of the lens and of the pacemaker lead for cure.
Therapy for the patient described here initially was empirical and based on published in vitro data and case reports; however, when the National Jewish Medical and Research Center reviewed the drug susceptibility data, the most appropriate treatment was selected.
The M goodii isolate was susceptible to doxycycline, imipenem, linezolid, and trimethoprim/sulfamethoxazole. It also was susceptible to the fluoroquinolones (ciprofloxacin, moxifloxacin, and gatifloxacin) and to select injectable aminoglycosides (tobramycin, amikacin, and kanamycin). It was resistant to the oral macrolides azithromycin and clarithromycin but susceptible to injectable tigecycline.
Intermediate susceptibility was demonstrated to cefoxitin and full resistance to amoxicillin/clavulanate. Perhaps the lack of activity against M goodii of routinely administered perioperative antibiotics, such as ?-lactams and vancomycin, is a factor in the recent increase in clinically recognized cases. Nevertheless, a wide range of oral and injectable antibiotics have in vitro activity against M goodii, and treatment with doxycycline and moxifloxacin led to full clinical suppression of infection in our patient.
An infection control investigation was conducted to trace the source of infection. It was learned that the sterilizer load used in the operating room was intact, and no quality control alarms had been triggered. Biological controls indicated no problems with the sterilization process.
The manufacturer of the prosthetic implant was contacted. No other problems with sterilization had been documented, and no other reports of atypical mycobacterial infection had been reported.
The hospital environmental services removed all air ducts that led into the operating room, recovery room, and ICU where the patient had stayed postoperatively. No standing water was noted. The humidity controls and filters for the forced-air system were clean and functional. Dust samples from the air ducts from 6 locations were collected by a commercial certified industrial hygienist and processed by a commercial pathogen-control laboratory; the samples were cultured at 37C (98.6F). All cultures results were negative for pathogens.
The operative record showed no breaches in sterile protocol. One infection control nurse who was in the operating room during the surgery noted no variances.
Samples of hot and cold water from the 3 scrub sink faucets outside the operating room also were cultured. A total of 6 samples were incubated at 37C (98.6F) and 45C (113F) for 6 weeks. None of the cultures grown at 45C demonstrated mycobacteria. The cultures grown at 37C from samples taken from the left sink's hot water, center sink's cold water, and right sink's hot water all grew mycobacteria that were subsequently unidentifiable because of fungal overgrowth. Nevertheless, the suspicion arose that the source of M goodii might have been the scrub sinks. However, because of the ubiquitous nature of environmental mycobacteria in tap water, the source of this patient's infection could not be definitively proved.
Given the low pathogenicity of M goodii, either disruption of skin and bone integrity or introduction of foreign material is probably necessary for infection. Isolation of M goodii from prosthetic material should spur the initiation of empirical therapy with antimicrobials that are active against this species and should prompt a review of infection control practices and an investigation into nosocomial water and environmental sources of the organism.