Heart disease, stroke, and cancer are leading causes of death in men, but they present to primary care with a variety of other, often difficult-to-diagnose concerns. Take this week’s photo quiz to test your knowledge of men’s health issues.

Question 1:
This HIV-positive, 48-year-old man presented with new-onset acne-like, pruritic lesions on his face. These erythematous painful papules had developed 2 months before presentation. Most patients with this condition are men in their 30s and 40s, who complain of a chronic, edematous, follicular eruption involving the trunk and face.
NEXT QUESTION »
For the discussion, click here.

Question 2:
The prevalence of gout, the most common inflammatory arthritis in the United States, is high in men and increases with age. Established treatments for patients who have acute gout are valid and often effective, but each has limitations.
NEXT QUESTION »
For the discussion, click here.

Question 3:
Oral lesions are among the most common complaints for which HIV-positive patients seek primary care. A 34-year-old man appeared healthy, but examination of the oral mucosa revealed a friable, filiform, digitate lesion on the upper gum. Results of HIV testing were positive. A clinical diagnosis of human papillomavirus infection was made.
NEXT QUESTION »
For the discussion, click here.
For the answer, click here.

Question 4:
A 66-year-old man presented with an asymptomatic lesion on the dorsum of his left hand. The flesh-colored, dome-shaped, maroon-crusted lesion measured 0.7 cm and was located over the fourth knuckle. He was seronegative for HIV. The lesion was excised; there was atypical vascular proliferation in the dermis featuring spindle-shaped cells with vascular slits and extravasation of erythrocytes.
NEXT QUESTION »
For the discussion, click here.

Question 5:
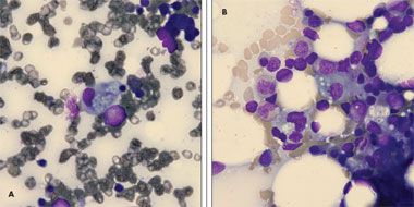
A 38-year-old man had fever and fatigue for 6 days and tenderness in the left upper abdominal quadrant for 3 days. He also had a longstanding facial butterfly rash and a 1-year history of lupus nephritis. Findings were consistent with histoplasma and were confirmed with bone marrow culture growth of Histoplasma capsulatum.
NEXT QUESTION »
For the discussion, click here.

Question 6:
A 26-year-old man had recurring cystic lesions on his scalp that would periodically enlarge, shrink, and occasionally drain. Examination revealed a soft, fluctuant, nontender, nonerythematous subcutaneous swelling on the left parietal scalp and a larger, linear lesion on the right parietal scalp.
ANSWER KEY »
For the discussion, click here.
ANSWER KEY:
Question 1. B
Question 2. E
Question 3. E
Question 4. C
Question 5. E
Question 6. A