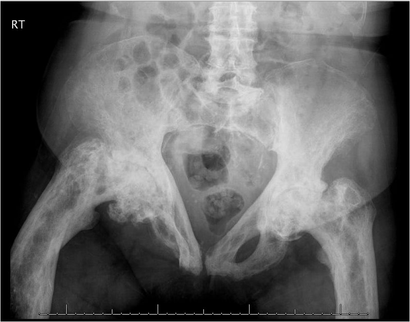
Oral etidronate, IV pamidronate, and then zoledronate caused bone markers to normalize in this 80-year-old woman-temporarily. What’s going on? Answer this and questions on 3 other topics in this week’s quiz.
Question 1:

Answer and new question on next page »
The correct answer is d. Paget disease of bone.
For a discussion of the case, click here.
Question 2:

Answer and new question on next page »
The correct answer is a. True.
For a discussion of the case, click here.
Question 3:
Answer and new question on next page »
The correct answer is c. Exercise echocardiography.
For a discussion of the case, click here.
Question 4:
A 58-year-old man with a history of chronic sinus disease and hypothyroidism presented with left periorbital pain and erythema that worsened despite treatment with topical antibiotics. CT showed pansinusitis and orbital stranding. Orbital inflammatory syndrome was diagnosed.
Answer on next page »
The correct answer is a. True. For a discussion of the case, click here.