The development of a standardized treatment that simultaneously addresses achalasia and obesity is becoming more imperative as obesity becomes epidemic in the US. Here’s a case in point.
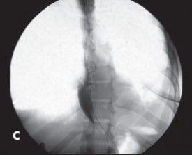
In an unrelated patient, barium swallow shows the classic “bird’s beak” appearance of the distal esophagus with proximal esophageal dilatation. The diagnosis was achalasia. Images courtesy Lakeisha Conley, MD, Christopher Knudsen, DO, Terry J. Hundley, MD, and Gregory W. Rutecki, MD.


Achalasia is a primary esophageal motility disorder characterized by complete aperistalsis of the esophageal body with failure of the gastroesophageal junction (GEJ) to relax during swallowing. This functional obstruction of the distal esophagus causes progressive dysphagia, food regurgitation, and weight loss. Thus, achalasia is rarely seen in the setting of obesity. The development of a standardized treatment that simultaneously addresses achalasia and obesity is becoming more imperative because obesity is growing in epidemic proportions in the US.
Treatment options are aimed at disrupting the lower esophageal sphincter (LES) to alleviate dysphagia. During laparoscopic Heller myotomy (LHM) both the inner circular and the outer longitudinal muscle layers of the esophagus are incised. Per-oral endoscopic myotomy (POEM) is a newer technique that creates a submucosal tunnel within the distal esophagus where the myotomy is performed. Here, only the inner circular muscle layers are dissected without cutting the outer longitudinal layer of the esophagus.1 Because the suspensory ligaments of the esophagus are not disrupted in POEM, anatomic reflux barriers are maintained. Therefore, POEM may not require concurrent partial fundoplication to prevent acid reflux as in LHM.2
Case Report
A 46-year-old morbidly obese man weighing 440 lb with BMI 64.41 kg/m2 presented with a 2-month history of dysphagia to solids and liquids, nausea, vomiting, and regurgitation of undigested food with nearly every meal. His medical history included sleep apnea and he was a chronic smoker. He was initially able to limit dysphagia symptoms by eating very little after 16:00, which began to affect his work and led to significant weight loss.
Achalasia was suspected: high-resolution manometry confirmed type 2 achalasia. Subsequent timed barium esophagram showed moderate fusiform dilation of the esophageal column with tapering at the GEJ, a classic “bird beak” appearance (Figures). Given his desire for bariatric surgery for morbid obesity, POEM was selected as the procedure of choice because it would not violate surgical planes used for either a Roux-en-Y gastric bypass (RYGB) or sleeve gastrectomy.
A POEM procedure was performed starting with an esophagogastroduodenoscopy, which demonstrated “rosette” puckering of the distal esophagus, characteristic of achalasia.
The patient’s diet was advanced to clear liquids and then to a soft diet by discharge on postoperative day 2. Two months after POEM, the patient had an excellent symptomatic response with near complete resolution of his dysphagia. He tolerated a regular diet without difficulty. His next step is to be evaluated for possible gastric bypass surgery.
Discussion
This is a novel case because patients with achalasia and morbid obesity make up a very rare clinical population. The management of achalasia in bariatric surgical patients poses unusual challenges. In patients who are planning for gastric bypass after the treatment of achalasia, the type of myotomy and gastric bypass chosen must be done in a synergistic manner so as not to conflict with one another.
The type of gastric bypass surgery best used in patients with achalasia is still not determined. Gastric banding is the second most common bariatric weight loss surgery; however, it is associated with major complications, including band erosion (28%), pouch dilation (11%), and band infections (1%).3 In addition, sleeve gastrectomy is very refluxogenic because of increased intragastric pressures in the remnant gastric pouch.
A RYGB is the most commonly performed weight loss procedure.4 A RYGB creates a small gastric pouch containing minimal acid-producing parietal cells. This decreases postoperative complications of acid reflux. Reflux is a frequent problem after myotomy in achalasia and the traditional fundoplication has a high failure rate in morbidly obese patients.5 The operative standard of treatment in patients with concomitant achalasia and obesity remains to be determined, but their managements cannot be addressed unilaterally. The anatomical challenges and clinical scarcity of cases makes finding a standardized treatment most difficult. Here, POEM in conjunction with RYGB afterward is an intriguing option in very obese patients with achalasia.
1. Friedel D, Modayil R, Iqbal S, et al. Per-oral endoscopic myotomy for achalasia: an American perspective. World J Gastrointest Endosc. 2013;5:420-427.
2. Bhayani NH, Kurian AA, Dunst CM, et al. A comparative study on comprehensive, objective outcomes of laparoscopic Heller myotomy with per-oral endoscopic myotomy (POEM) for achalasia. Ann Surg. 2014;259:1098-1103.
3. Himpens J, Cadiere GB, Bazi M, et al. Long-term outcomes of laparoscopic adjustable gastric banding. Arch Surg. 2011;146:802-807.
4. El-Hadi M, Birch DW, Gill RS, et al. The effect of bariatric surgery on gastroesophageal reflux disease. Can J Surg. 2014;57:139-144.
5. Kaufman JA, Pellegrini CA, Oelschlager BK. Laparoscopic Heller myotomy and Roux-en Y gastric bypass: a novel operation for the obese patient with achalasia. J Laparoendosc Adv Surg Tech A. 2005;15:391-395.
FDA Approves First Oral GLP-1 Receptor Agonist for Chronic Weight Management
December 23rd 2025The FDA approved once-daily oral semaglutide 25 mg for chronic weight management and long-term weight maintenance in adults with obesity or overweight, based on data from the OASIS clinical trial program.