Cardiovascular diseases here are patent foramen ovale, interatrial septal aneurysm, myocarditis, aoritis, internal carotid artery dissection, heart-hand syndrome.
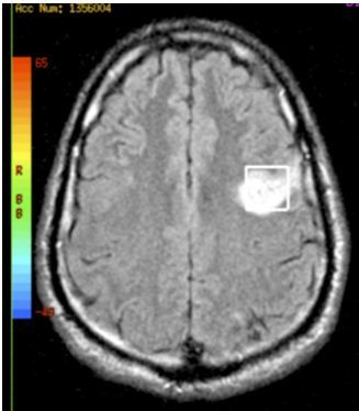
A 42-year-old man presented after multiple episodes of difficulty in speaking. MRI of the brain without contrast suggested an acute infarct in the left frontal supraventricular white matter. Subsequent MRI with contrast indicated a subacute infarct. MRI spectroscopy verified an ischemic infarct. The patient underwent transesophageal echocardiography, seen here, that showed a patent foramen ovale (PFO). The diagnosis was cryptogenic ischemic stroke. Approximately 40% of cryptogenic ischemic strokes are attributed to PFO.

Image courtesy of Seema Tayal, MD, MBA; Apar Bains, MD MPH; Phillip Telefus;
Irina Erlikh, MD; and Vasantha K. Kondamudi, MD.
Click here for the next image
Interatrial septal aneurysms (IASA) and patent foramen ovale (PFO) (see previous image) frequently cause cryptogenic cerebral and peripheral thromboemboli. Recognition and documentation of these abnormalities during an echocardiographic study is essential. This view shows a typical IASA bulging into the right atrium in an asymptomatic 58-year-old man; there is no detectable PFO.

Image courtesy of Azam Ansari, MD and Ryan Devine, BS.
Click here for the next image
A previously healthy 55-year-old woman complained of fever, weakness, and generalized malaise for the previous 3 to 4 weeks. This repeated 2-dimensional transthoracic echocardiogram showed inferior wall hypokinesis, along with a ventricular septal defect (VSD) in the inferoseptum. To the authors’ knowledge, this case of VSD as a complication of myocarditis was the first report of such an occurrence.

Image courtesy of Orlando Santana, MD and Michael Funk, MD.
Click here for the next image
A 3-day-old boy presented for evaluation of what the child's mother described as “strange breathing.” This was a case of double aortic arch in an infant with persistent stridor. Esophageal indentation resulting from double aortic arch anomaly may be recognized in plain lateral radiographs (left). Bronchoscopy may demonstrate indentation of the trachea (right)..

Image courtesy of Joshua S. Coren, DO, MBA, Patricia H. Martin, OMSIII,
and Amir Toib, MD, MSc.
Click here for the next image
An obese 61-year-old man who had chronic obstructive pulmonary disease and sleep apnea heard a “pop” in his stomach while lifting a heavy weight; severe abdominal pain followed. In a CT scan of the abdomen and pelvis, arrows point to inflammation in the aortic wall (A) and the paraaortic retroperitoneal fat (I, inferior vena cava; K, kidney.) Calcified atherosclerotic plaques were visible, but the aorta was not dilated. There was neither retroperitoneal hematoma nor contrast extravasation to suggest rupture. The patient had aortitis.

Image courtesy of Joel M. Schwartz, MD.
Click here for the next image
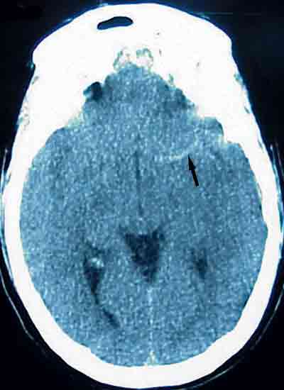
A 36-year-old man who had collapsed and sustained a bruised right shoulder was brought to the emergency department with acute emesis, cephalgia, blurred vision, aphasia, and right hemiparesis. The initial CT scan of the brain revealed a linear hyperdensity in the region of the left middle cerebral artery, indicating thrombus formation. An area of cerebral edema was noted with a small effacement from left to right. The patient had an internal carotid artery dissection.

Image courtesy of Christopher J. Pham, DO and Clark J. Okulski, DO.
Click here for the next image
A 45-year-old African American man presented with heart disorders and congenital hand deformities. His previous diagnoses included hypertrophic obstructive cardiomyopathy and mitral regurgitation. Bilateral hand deformities took the form of short nubbin-like fingers with somewhat deformed thumbs. The fifth fingers showed clinodactyly with partially hypoplastic nails. Heart-hand syndromes include Holt-Oram syndrome, Tabatznik syndrome, familial brachydactyly, and polydactyly.

Image courtesy of Satyajeet Roy, MD and Monaliben Patel, MD.
Click here for the next image
A 74-year-old man was evaluated for iron deficiency anemia. Two-dimensional echocardiography revealed a large mass in the right side of the heart and a pericardial effusion. A pericardial window was created, and it drained 400 mL of serous fluid. CT of the chest disclosed a 5-cm mass within the right side of the heart, centered in the region of the tricuspid valve and extending into the right atrium and ventricle. The diagnosis was primary cardiac B-cell lymphoma unrelated to the previously diagnosed anemia.

Image courtesy of Rames Adabala, Stephen A. Volk, and Subhash C. Proothi.
Click here for the next image
Two-dimensional transthoracic echocardiographic studies show incidental heart-shaped findings. In Photo A, a short axis view of the heart of a 54-year-old woman, the opening of the tricuspid aortic valve simulates the “Valentine’s sign,” or heart shape. Photo B shows a normal tricuspid aortic valve in another woman for comparison. Photo C, an apical 4-chamber view with color-flow Doppler application in a 57-year-old woman, shows mosaic mitral regurgitation in the shape of an upside-down heart. Photo D shows non–heart-shaped mosaic mitral regurgitation in another woman for comparison.

Image courtesy of Azam Ansari, MD, Travis Pollock, RDCS, and Wayne Aakre, RDCS.
Click here to return to the first image.